Акантоз шейки матки — патологическое состояние, связанное с изменениями в эпителии шейки матки, которое может предшествовать более серьезным заболеваниям, включая рак. Хотя симптомы часто отсутствуют, заболевание требует внимательного отношения и своевременной диагностики, так как игнорирование может привести к серьезным последствиям для здоровья женщины. В статье рассмотрим причины акантоза, его клинические проявления, методы диагностики и современные подходы к лечению, что поможет читателям лучше понять эту патологию и важность регулярных медицинских обследований.
Что представляет собой патология?
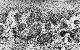
Маточный акантоз представляет собой утолщение слизистой оболочки шейки матки. В результате этого процесса наблюдается удлинение межсосочковых отростков.
Развитие данного заболевания может быть вызвано как внешними, так и внутренними факторами. Часто основным источником проблемы становится инфекция, среди которых вирус папилломы человека является одним из наиболее распространенных провокаторов.
Акантоз шейки матки представляет собой патологическое изменение, характеризующееся утолщением и гиперплазией эпителия. По мнению экспертов, данное состояние часто связано с гормональными нарушениями и может быть предшественником более серьезных заболеваний, таких как рак шейки матки. Основные симптомы включают аномальные выделения и дискомфорт, однако на ранних стадиях заболевание может протекать бессимптомно. Для диагностики акантоза применяются гинекологические осмотры, кольпоскопия и биопсия. Лечение зависит от степени выраженности изменений и может включать как наблюдение, так и хирургическое вмешательство. Важно, чтобы женщины регулярно проходили профилактические осмотры, что позволяет выявить заболевание на ранних стадиях и предотвратить его развитие.

Основные провоцирующие факторы
Основные причины маточного акантоза представлены в табличке.
| Причина | Фактор |
| Частые аборты | Болезнь развивается, если хирургическое прерывание беременности совершалось более 2 раз. |
| Некорректное установление механических контрацептических средств | Неправильно установленная спираль. |
| Диагностическое выскабливание | Болезнь развивается на фоне чистки. |
| Жесткие методы лечения эрозии | Диатермокоагуляция. |
| Жесткий секс | Использование посторонних предметов. |
| Неразборчивые сексуальные связи | Больше двух половых партнеров. |
| Заболевания, имеющие бактериальную или вирусную природу. | Хронические формы хламидиоза, герпеса, микоплазмоза, папилломовирусных инфекций. |
| Иные патологии | Вагинит, эндоцервицит, экзоцервицит. |
| Эктопии | Патология прогрессирует на фоне частых рецидивов. |
Интересные факты
Вот несколько интересных фактов об акантозе шейки матки:
-
Что такое акантоз шейки матки: Акантоз шейки матки — это патологическое изменение, характеризующееся утолщением и гиперплазией эпителия шейки матки. Это состояние может быть связано с различными факторами, включая гормональные изменения, воспалительные процессы и даже предраковые состояния.
-
Диагностика: Акантоз шейки матки часто выявляется во время гинекологического осмотра и может быть подтвержден с помощью цитологического исследования (Пап-тест) или биопсии. Важно отметить, что акантоз сам по себе не является диагнозом рака, но может быть предвестником более серьезных заболеваний, поэтому регулярные обследования крайне важны.
-
Лечение и профилактика: Лечение акантоза шейки матки зависит от причины его возникновения. В некоторых случаях может быть достаточно наблюдения и регулярного контроля, в других — может потребоваться медикаментозная терапия или хирургическое вмешательство. Профилактика включает в себя регулярные гинекологические осмотры, вакцинацию против вируса папилломы человека (ВПЧ) и соблюдение здорового образа жизни.

Внутренние факторы
К ним следует отнести:
- дисфункцию яичников;
- сбои в работе гипофизарно-гипоталамической системы;
- недостаток прогестерона.
Эти обстоятельства вызывают гиперпластические изменения в органах.
Иные факторы
К иным причинам следует отнести:
- длительное протекание болезней;
- соблюдение изнурительных диет;
- эмоциональное переутомление;
- проживание в экологически неблагоприятных регионах;
- физическое переутомление.

Как проявляется патология?
Маточный акантоз на ранних стадиях обычно протекает без явных симптомов. В некоторых случаях наблюдается нечеткая клиническая картина, которая не вызывает у женщины особого беспокойства.
Часто признаки маточного акантоза затушевываются на фоне симптомов основной болезни.
К таким заболеваниям относятся инфекции:
- Вирусные.
- Грибковые.
- Бактериальные.
Для этих инфекций характерен легкий зуд. Иногда может возникать небольшая боль, которая вскоре проходит сама по себе.
Если изменения имеют выраженный характер, то во время полового акта может ощущаться легкий дискомфорт. После интимной близости могут появляться небольшие кровянистые выделения.
Вагинальный секрет выделяется в увеличенном объеме, также может присутствовать неприятный запах.
Установление диагноза
Выявить развитие маточного акантоза можно только в кабинете гинеколога. Специалист обязан подробно рассказать женщине, что это такое. Эта болезнь относится к предраковым состояниям. Ее лечение должно быть незамедлительным.
Для подтверждения диагноза, больной назначается прохождение:
- Гистологии.
- Жидкостной цитологии.
- Кольпоскопии.
Установить наличие злокачественных клеток помогает онкоцитология. Своевременная диагностика может спасти жизнь женщине.
Более подробное описание диагностических методов дано в табличке.
| Диагностический метод | Описание |
| Кольпоскопия | Этот способ помогает выявить место поражения и его объемы. Изменения могут быть точечными и единичными. В некоторых случаях поражается значительная часть слизистой оболочки. |
| Шиллер-тестирование | Представляет собой йодную пробу. Специалист окрашивает раствором нормальный эпителий. О развитии болезни сигналят негативные к йоду участки. |
| Анализ крови | Способствует выявлению первопричины патологических изменений слизистой. Также этот способ позволяет обнаружить гормональные нарушения, инфекцию бактериальной или вирусной природы. |
После прохождения обследования, женщина может быть направлена на прием к эндокринологу или онкологу.
Как можно помочь?
Лечение начинается только после определения основной причины и получения точной информации об акантозе.
Методы терапии зависят от степени прогрессирования заболевания, а также от общего состояния пациентки. Важным фактором является наличие сопутствующих заболеваний. Кроме того, учитывается риск перерождения клеток в злокачественные.
Помощь при начальной стадии
Больной назначаются лекарственные средства, обладающие местным эффектом. Также врач назначает применение гормональных медикаментов. Они могут приниматься одновременно с противовоспалительными препаратами.
Такое лечение лучше всего помогает тогда, когда маточный акантоз провоцируется инфекционными патологиями.
Основное лечение
В зависимости от площади затронутой области, терапия маточного акантоза может включать следующие методы:
- Диатермокоагуляция.
- Криодеструкция.
- Аргоноплазменная коагуляция.
- Лазерное испарение.
Если неоплазмия не обнаружена, а размер пораженного участка небольшой, пациентке советуют заняться лечением сопутствующих заболеваний.
Оперативное вмешательство
Хирургия назначается только тогда, когда существует серьезный риск трансформации маточного акантоза в онкологию.
Специалистом проводится иссечение пораженного участка. Частично удаляется шеечный отдел органа. В наиболее сложных случаях удаляется матка.
Последний вариант относится к радикальным методам лечения маточного акантоза. В отношении женщин, не достигших сорокалетнего возраста, он не используется.
Иные способы помощи
Врач может провести выскабливание слизистой оболочки шейки матки. Полученный материал анализируется на наличие атипичных клеток.
В некоторых случаях женщине может быть рекомендовано прижигание пораженных участков. Этот метод лечения обычно применяется, когда существует вероятность развития онкологических заболеваний.
Профилактические рекомендации
Снизить риск развития маточного акантоза в силах каждой женщины. Для этого необходимо:
- Упорядочить свою сексуальную жизнь.
- Отказаться от приема гормональных контрацептивов.
- Придерживаться правил интимной гигиены.
- Регулярно посещать гинеколога.
- Проходить своевременное лечение сопутствующих патологий.
Гинеколога рекомендуется посещать не менее 1 раза в год. Женщины, находящиеся в группе риска, должны проходить осмотр дважды за 12 месяцев. Особенно это касается людей, страдающих эндокринными патологиями и имеющих проблемы с гормонами. Регулярно посещать гинеколога должны и те женщины, в анамнезе у которых имеются хирургические вмешательства в половой системе.
Очень важно иметь постоянного полового партнера. Беспорядочные связи способствуют возникновению инфекционных патологий.
Заключение
Самостоятельный прием медикаментов строго не рекомендуется. Не следует “назначать себе” процедуры, такие как спринцевания или ванны. Использование народных средств может привести к активному развитию атилии, что, в свою очередь, может ухудшить общее состояние.
Во время лечения физическая активность должна быть умеренной. Соблюдение специальной диеты окажет положительное влияние на здоровье женщины.
Влияние на репродуктивное здоровье
Акантоз шейки матки может оказывать значительное влияние на репродуктивное здоровье женщины. Это состояние, характеризующееся утолщением и изменением структуры эпителия шейки матки, может быть связано с различными гинекологическими заболеваниями и состояниями, которые в свою очередь могут затруднять зачатие и вынашивание беременности.
Одним из основных аспектов, на которые стоит обратить внимание, является то, что акантоз может быть признаком предраковых изменений. В случае, если акантоз сопровождается дисплазией, это может привести к более серьезным последствиям, таким как рак шейки матки. Поэтому важно регулярно проходить гинекологические обследования и следить за состоянием шейки матки.
Кроме того, акантоз может влиять на гормональный баланс в организме. Изменения в структуре шейки матки могут привести к нарушению менструального цикла, что в свою очередь может затруднить зачатие. Женщины с акантозом могут испытывать проблемы с овуляцией, что также негативно сказывается на репродуктивной функции.
Важно отметить, что акантоз шейки матки может быть ассоциирован с такими состояниями, как поликистоз яичников и ожирение, которые также влияют на репродуктивное здоровье. Эти состояния могут вызывать гормональные нарушения, что в свою очередь может усугублять проявления акантоза и приводить к дальнейшим осложнениям.
В случае, если акантоз шейки матки был диагностирован, важно обратиться к специалисту для оценки состояния и разработки индивидуального плана лечения. Это может включать как медикаментозную терапию, так и хирургические вмешательства, если это необходимо. Регулярное наблюдение и контроль состояния шейки матки помогут предотвратить развитие более серьезных заболеваний и сохранить репродуктивное здоровье женщины.
Вопрос-ответ
Что такое акантоз шейки матки и каковы его причины?
Акантоз шейки матки — это патологическое изменение, характеризующееся утолщением и увеличением количества клеток в эпителии шейки матки. Основные причины могут включать гормональные изменения, воспалительные процессы, а также вирусные инфекции, такие как вирус папилломы человека (ВПЧ).
Какие симптомы могут указывать на наличие акантоза шейки матки?
Симптомы акантоза шейки матки могут быть неявными, однако некоторые женщины могут испытывать аномальные выделения, дискомфорт или боль во время полового акта. Важно отметить, что в большинстве случаев заболевание протекает бессимптомно, что делает регулярные гинекологические осмотры особенно важными.
Как проводится диагностика акантоза шейки матки?
Диагностика акантоза шейки матки включает в себя гинекологический осмотр, Пап-тест (цитологическое исследование) и, при необходимости, биопсию. Эти методы позволяют выявить изменения в клетках шейки матки и исключить другие патологии, такие как дисплазия или рак.
Советы
СОВЕТ №1
Регулярно проходите гинекологические осмотры. Акантоз шейки матки может не проявляться явными симптомами, поэтому важно регулярно посещать врача для раннего выявления изменений и возможных заболеваний.
СОВЕТ №2
Обратите внимание на изменения в менструальном цикле и любые необычные выделения. Если вы заметили что-то необычное, не откладывайте визит к врачу, так как это может быть признаком различных заболеваний, включая акантоз.
СОВЕТ №3
Поддерживайте здоровый образ жизни. Правильное питание, регулярные физические нагрузки и отказ от вредных привычек могут помочь укрепить иммунную систему и снизить риск развития заболеваний шейки матки.
СОВЕТ №4
Не игнорируйте генетическую предрасположенность. Если у вас в семье были случаи заболеваний шейки матки, обсудите это с врачом и следуйте его рекомендациям по профилактике и мониторингу состояния здоровья.


