Киста желтого тела – это частый гинекологический диагноз, с которым сталкиваются женщины репродуктивного возраста. Узнав о том, что в малом тазу растет опухоль, можно испытать настоящий шок. В голову часто приходят самые страшные мысли. На самом деле паниковать не следует. Киста желтого тела содержит железистые клетки, которые не способны малигнизировать, то есть перерождаться в раковую опухоль. В то же время игнорировать наличие новообразования нельзя, так как оно способно достигать крупных размеров и становиться препятствием на пути к беременности.

Желтое тело – что это?
Желтое тело представлено временной железой внутренней секреции. Имеется она только у женщин. Цвет железы желтый, так как она содержит лютеин. Формируется желтое тело после овуляции. Когда яйцеклетка выходит из яичника, на месте доминантного фолликула образуется мешочек. Он начинает вырабатывать гормон второй фазы цикла, который называется прогестерон. Именно он нужен для того, чтобы сохранить беременность.
При условии, что женщина не забеременела, организм вступает в фазу регрессии. Желтое тело начинает уменьшаться в размерах. На его месте формируется микроскопический рубец. У женщины случается менструальное кровотечение, после чего цикл повторяется. Этот процесс является естественным для здорового женского организма репродуктивного возраста.
Причины формирования кисты
Киста желтого тела – это лютеиновый мешочек, который вырабатывает прогестерон. От обычной полости скопления лютеина она отличается только своими размерами. Это означает, что любое желтое тело, которое выходит за пределы полости, будет расцениваться специалистом УЗИ как киста.
Лютеиновый мешочек всегда формируется во время овуляции, без него она невозможна. Однако иногда желтое тело может начать расти в неположенное для этого время. Чаще всего это случается на фоне гормонального дисбаланса, при значительном повышении уровня ЛГ. У большинства женщин в течение жизни образуется несколько подобных кист, но они об этом даже не подозревают.
Если опухоль функциональная, то она не будет провоцировать какие-либо патологические симптомы. Обнаруживают ее случайно. Реже киста желтого тела становится причиной задержки менструации или, напротив, провоцирует обильное кровотечение.
Чаще всего киста желтого тела не несет угрозы здоровью. Однако исключить риск ее перекрута или разрыва невозможно.

Как обнаружить кисту желтого тела?
Если киста имеет небольшие размеры, то самостоятельно заподозрить ее присутствие в организме не удастся. Когда ее диаметр достигает 80 мм и более, женщина начинает испытывать определенный дискомфорт. Он проявляется болезненными ощущениями, которые имеют тянущий характер. Боль будет сосредоточена со стороны пораженного яичника.
Неприятные ощущения усиливаются во время интимной близости. Боль способна появляться при опорожнении кишечника или мочевого пузыря. Также следует обратить внимание на отсутствие очередного менструального кровотечения. Все перечисленные симптомы могут указывать на растущую кисту желтого тела. Чтобы подтвердить диагноз, необходимо обратиться к гинекологу.
Диагностика кисты не затруднена. Доктор может заподозрить ее наличие уже после первичного осмотра.
Для начала врач опросит пациентку и выяснит ее жалобы. Дальнейшие шаги по обнаружению кисты желтого тела:
- Гинекологический осмотр. Если у женщины имеется киста, то пораженный яичник будет увеличен в размерах. Часто его пальпация провоцирует боль.
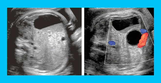
- УЗИ. В полости кисты отсутствуют кровеносные сосуды. Это является отличительной характеристикой лютеинового новообразования.
- Пункция или диагностическая лапароскопия. К этим методам обнаружения кисты прибегают редко.
Интересно, что согласно статистике киста желтого тела чаще всего формируется в области левого яичника.

Как лечить кисту желтого тела
Если киста желтого тела была обнаружена случайно, а сама женщина не испытывает какого-либо дискомфорта из-за ее присутствия в организме, терапию не проводят. Важным условием является сохранность менструального цикла и его ритмичность. В этом случае за пациенткой наблюдают в течение полугода (минимум 3 месяца). Параллельно женщина должна будет регулярно посещать врача, и проходить УЗИ. Это позволяет контролировать скорость роста опухоли.
При условии, что киста продолжает увеличиваться в размерах, пациентке назначают гормональную терапию. Препаратами выбора становятся:
- утрожестан;
- дюфастон;
- ипрожин.
Благодаря их приему киста рассасывается, а менструации стабилизируются. Медикаментозная коррекция может быть дополнена физиопроцедурами: магнитотерапией, грязелечением, лазеротерапией.
Если добиться положительной динамики не удается, то пациентке назначают операцию. Наименее травматичным методом вмешательства является лапароскопия. Врач иссекает не только саму кисту, но и ту часть яичника, которая подверглась патологическим изменениям.

Можно ли забеременеть при кисте желтого тела?
С кистой желтого тела беременность возможна. Кроме того, крупные новообразования часто обнаруживают после того, как женщина зачала ребенка. Киста поддерживает беременность, продуцируя прогестерон.
Если киста начала формироваться и быстро расти на этапе планирования беременности, то зачатие является проблематичным. Это происходит из-за того, что опухоль вырабатывает прогестерон в тот период, когда он организму не нужен. При нарушении последовательности продукции гормонов забеременеть будет сложно. Доминантные фолликулы просто не смогут вовремя сформироваться, а значит, овуляция не наступит. Без этого беременность невозможна.
Когда киста регрессирует в период между циклами, шансы на зачатие повышаются. При этом гормональный фон не должен быть нарушен. Во время УЗИ доктор визуализирует 2 желтых тела. Одно из них будет находиться в фазе регрессии и иметь малые размеры.
Как показывает статистика и гинекологическая практика, чаще всего киста желтого тела не является препятствием для успешного зачатия.
Киста желтого тела во время беременности
Если врач обнаружил кисту во время проведения УЗИ по поводу беременности, переживать не следует. Она не несет какой-либо угрозы здоровью женщины и ребенка. Более того, на ранних сроках вынашивания плода киста продуцирует прогестерон, который необходим будущей матери. Это позволяет сохранять нормальный тонус матки и не дает организму отторгнуть плодное яйцо.
Если желтого тела во время первого скрининга обнаружено не было, врач должен проявить настороженность в отношении пациентки. В целом, беременность ставится под сомнение. Прогестерон необходим эмбриону, так как без него развитие плода невозможно. Беременность будет замершей, у женщины случится выкидыш.
Если несостоятельность желтого тела была обнаружена на раннем сроке, то врач может назначить пациентке специальные препараты. Доза подбирается в индивидуальном порядке. Это позволит сохранить беременность.

До конца 20 недели она полностью растворится. Это процесс запускается, начиная с 12 недели беременности. При условии, что женщина предъявляет какие-либо жалобы, ей проводят внеплановое УЗИ. Экстренные ситуации требуют оперативного вмешательства, а именно – лапароскопии.
Вопросы специалисту
На вопросы отвечает практикующий акушер-гинеколог Наталья Юрьевна:
- Мне 27 лет, долгое время не удается забеременеть. УЗИ выявило кисту желтого тела правого яичника. Что это означает и как поступить? После завершения очередной менструации сразу же пройдите повторное УЗИ. Киста должна исчезнуть. Если она не растворятся, следует понаблюдать за ней. Чаще всего новообразования небольшого размера не требуют лечения и проходят самостоятельно.
- УЗИ было выполнено на 13 день цикла. Доктор обнаружил кисту желтого тела. Нужна ли мне операция? Могу ли я заниматься спором? Чаще всего кисты не требуют лечения. Однако мониторинг опухоли должен продолжаться. Женщина может заниматься легкими видами спорта. Нужно отказаться от резких движений и чрезмерного перенапряжения брюшной полости.
- Я нахожусь на 6 неделе беременности. Во время УЗИ врач обнаружил кисту. Мне требуется операция? Нет. Операция не нужна. На таких сроках киста желтого тела – это вариант нормы. Она пройдет самостоятельно и не отразится на беременности.
Краткий итог
Пишите комментарии и задавайте вопросы. Наши специалисты ответят на них очень быстро. Поставьте оценку статье звездами снизу. Статьей можно поделиться в социальных сетях со своими друзьями. Спасибо за посещение. Крепкого Вам здоровья!
Частые вопросы
Как влияет киста желтого тела на беременность?
Киста желтого тела может вызвать проблемы с зачатием и беременностью, так как она может привести к нарушению овуляции или вызвать преждевременное прекращение беременности.
Какие могут быть осложнения беременности при наличии кисты желтого тела?
В случае беременности при наличии кисты желтого тела, возможны осложнения, такие как выкидыш, внематочная беременность или преждевременные роды. Поэтому важно тщательно мониторить состояние и проконсультироваться с врачом.
Полезные советы
СОВЕТ №1
Обратитесь к врачу для подтверждения беременности и оценки состояния кисты желтого тела. Важно получить профессиональную консультацию и рекомендации по дальнейшему ведению беременности.
СОВЕТ №2
Следите за своим состоянием и обратите внимание на любые изменения в ощущениях или симптомах. В случае появления боли, кровотечения или других тревожных признаков, немедленно обратитесь к врачу.
СОВЕТ №3
Поддерживайте здоровый образ жизни, включая правильное питание, умеренные физические нагрузки и отказ от вредных привычек. Это поможет создать благоприятные условия для развития беременности при наличии кисты желтого тела.