Деформация шейки матки — состояние, влияющее на здоровье женщины и её репродуктивные функции. Изменения в строении органа могут быть вызваны травмами, воспалениями и генетическими факторами. В статье рассмотрим причины деформации шейки матки, последствия для здоровья, а также методы диагностики и лечения. Знание этих аспектов поможет женщинам вовремя обратиться за медицинской помощью и предотвратить серьезные заболевания, включая бесплодие.
Что представляет собой заболевание?
Деформация матки представляет собой изменение обычного положения шейки матки и части влагалища. Существует множество причин, способствующих возникновению этой патологии, однако стоит отметить, что заболевание встречается довольно редко. К деформациям матки можно отнести:
- Циркулярный канал шейки матки.
- Сужение просвета.
- Проблемы с проходимостью шейки.
- Уменьшение длины шейки матки.
- Рубцовые изменения.
Симптомы данной патологии могут проявляться не всегда, и скорректировать это отклонение от нормы бывает сложно, пока женщина не обратится к гинекологу.
Эксперты в области гинекологии отмечают, что деформация шейки матки может вызывать различные опасения у женщин, однако не всегда представляет собой серьезную угрозу. В большинстве случаев такие изменения являются следствием естественных процессов, например, после родов или в результате гормональных изменений. Тем не менее, важно учитывать, что в некоторых ситуациях деформация может быть связана с патологиями, такими как дисплазия или рак шейки матки. Поэтому регулярные обследования и консультации с врачом являются ключевыми для своевременной диагностики и предотвращения возможных осложнений. Специалисты подчеркивают, что каждая ситуация индивидуальна, и только квалифицированный врач может дать точную оценку состояния шейки матки и рекомендовать необходимые меры.

Причины
Деформированная шейка матки бывает врожденной патологией или развивается в результате определенных состояний. Если речь идет о наследственной форме, то, как правило, попутно диагностируются аномалии в развитии других половых органов, например, матки или влагалища.
Но чаще всего деформирование шейки происходит под влиянием следующих факторов:
- Образование спаек в области органов малого таза.
- Деформация после грубого вмешательства, например, аборт.
- Образование рубцов в результате гинекологических процедур.
- Разрывы шейки матки в процессе родовой деятельности.
В зависимости от причины патологии она либо поддается корректировке, либо нет.
| Тип деформации шейки матки | Опасность для здоровья | Возможные последствия для беременности |
|---|---|---|
| Эктопия (псевдоэрозия) | Низкая, обычно не требует лечения. Может быть предраковым состоянием в редких случаях. | Может незначительно повысить риск преждевременных родов или инфекций. |
| Эрозия шейки матки | Низкая, обычно не требует лечения. Может быть предраковым состоянием в редких случаях. | Может незначительно повысить риск преждевременных родов или инфекций. |
| Гипертрофия шейки матки | Зависит от причины и степени. Может быть признаком воспаления или гормональных нарушений. | Может затруднять зачатие, вызывать преждевременные роды или кровотечения. |
| Стеноз шейки матки | Может затруднять зачатие и роды. | Может потребоваться хирургическое вмешательство для расширения канала шейки матки. |
| Разрывы шейки матки (после родов) | Зависит от степени разрыва. Может потребовать хирургического вмешательства. | Повышенный риск осложнений при последующих беременностях. |
| Деформация шейки матки после хирургического вмешательства (например, конизация) | Зависит от типа и объема операции. Может повысить риск преждевременных родов или невынашивания. | Необходим тщательный мониторинг беременности. |
Интересные факты
Вот несколько интересных фактов о деформации шейки матки и ее возможных последствиях:
-
Причины деформации: Деформация шейки матки может быть вызвана различными факторами, включая травмы, хирургические вмешательства, инфекции или роды. Например, после кесарева сечения или других операций на матке может возникнуть рубцовая ткань, что приводит к изменению формы шейки матки.
-
Влияние на беременность: Деформация шейки матки может повлиять на течение беременности. В некоторых случаях, если шейка матки слишком короткая или имеет аномальную форму, это может привести к преждевременным родам или выкидышам. В таких ситуациях может потребоваться медицинское вмешательство, например, установка шва на шейку матки.
-
Диагностика и лечение: Деформация шейки матки часто диагностируется с помощью ультразвукового исследования или гинекологического осмотра. Лечение может варьироваться от наблюдения до хирургического вмешательства, в зависимости от степени деформации и ее влияния на здоровье женщины. Важно, чтобы каждая женщина проходила регулярные гинекологические осмотры для раннего выявления возможных проблем.

Симптоматика патологии
Заболевание может долгое время не проявляться явными симптомами. Оно становится заметным лишь тогда, когда женщина сталкивается с трудностями при зачатии или вынашивании ребенка, либо во время планового медицинского осмотра.
Тем не менее, можно выделить несколько характерных особенностей протекания болезни:
- При циркулярном сужении шейки матки внешние изменения отсутствуют. Однако проблема может возникнуть во время родов, когда мышечные волокна шейки неправильно сокращаются, что препятствует ее раскрытию.
- Если шейка матки сужена, это может проявляться в виде нарушений менструального цикла. Менструации становятся менее обильными из-за препятствия для нормального оттока крови.
- При полной непроходимости шейки матки наблюдается задержка менструации, что приводит к накоплению крови в матке. У женщины могут возникать боли в животе и напряжение в области брюшной стенки.
- Удлиненная шейка матки может повлиять на ощущения женщины во время полового акта, снижая половое влечение и ослабляя оргазм из-за недостатка рецепторов.
- Укороченная шейка матки может проявить себя во время беременности, увеличивая риск выкидыша и преждевременных родов.
- Рубцовая деформация шейки матки может вызывать дискомфорт и боли во время интимной близости, а со временем могут развиться воспалительные процессы в органах малого таза.
Учитывая, что данная патология часто протекает без симптомов, регулярные медицинские осмотры играют ключевую роль в своевременной диагностике и лечении.
Разновидности заболевания
Патология бывает двух видов:
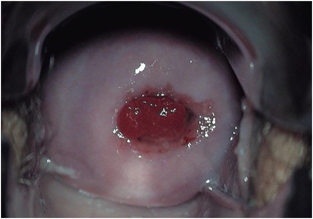
- Деформация шейки матки после родов. Рождение малыша – это сложный процесс, требующий от женщины определенных усилий. В процессе родовой деятельности шейка укорачивается, что дает ей возможность раскрыться. Если ребенок имеет большой вес, были ранее разрывы на шейке, то велик риск повреждения, что может потребовать зашивания. Это заканчивается искривлением шейки, форма ее меняется. На фото этот вид патологии выглядит так:
- Рубцовая деформация шейки матки. Такая патология развивается в результате оперативного вмешательства или родов, протекающих тяжело. Привести к развитию заболевания могут неправильно и грубо сделанные швы при разрывах шейки матки. В результате происходит деформация и выворачивание шейки во влагалище. А на фотографии прекрасно видно, что это такое.
Несмотря на то, что патологические изменения могут никак себя не проявлять или давать незначительные симптомы, но женщина должна при малейших подозрениях на отклонения от нормы показаться врачу.
Если обнаружена рубцовая деформация, то эффективное лечение способно восстановить естественное состояние шейки матки.
Диагностика заболевания
Если женщина начинает испытывать неприятные симптомы, не стоит спешить с самодиагностикой и самолечением. Важно как можно скорее обратиться к гинекологу. Установление точного диагноза осуществляется на основе следующих шагов:
- Беседа с пациенткой. Врач задаст вопросы о симптомах и их проявлениях, а также уточнит, когда именно они появились и что могло этому предшествовать.
- Затем обязательно проводится осмотр. При помощи зеркал можно сразу заметить серьезные дефекты, особенно если речь идет о рубцовых изменениях.
- Для уточнения диагноза гинеколог возьмет мазок для цитологического анализа.
- Также потребуются бактериологические исследования.
- Назначается кольпоскопия, которая позволяет детально изучить поверхность шейки матки и выявить возможные осложнения.
- Необходима биопсия.
- Применяется цервикометрия – ультразвуковое исследование матки, которое помогает выявить рубцовые изменения и визуализировать неоднородную структуру шейки матки.
- Анализы мочи и крови, как правило, не назначаются, так как при таких патологиях изменений в них не наблюдается.
- Если у женщины выявлена врожденная деформация, потребуется сдать анализы на уровень гормонов.
Можно ли рожать с деформацией шейки матки?
Рожать, конечно, женщине никто запретить не может, но надо иметь в виду, что данная патология может осложнить процесс вынашивания малыша и роды. Можно отметить следующие факты:
- Если диагностировано сужение канала, то это может привести к нарушению родовой деятельности, матка плохо раскрывается, что может стать показанием к проведению кесарева сечения.
- Укороченная шейка не препятствует оплодотворению, но, как правило, женщине довольно трудно выносить малыша, часто наблюдаются преждевременные роды.
- Удлиненная шейка может стать препятствием для правильного прикрепления плаценты. А в процессе рождения младенца она не может полностью раскрыться, что затрудняет прохождение ребенка по родовым путям матери. Появляется опасность развития кислородной недостаточности.
Все эти риски можно исключить, если перед планированием беременности пройти полное обследование и выявить имеющиеся патологии.
Терапия
Тактика лечения искривления шейки матки разрабатывается индивидуально для каждой пациентки. Выбор метода терапии зависит от ряда факторов:
- Степени тяжести и типа патологии.
- Намерений женщины в отношении будущего материнства.
- Возраста пациентки.
- Наличия хронических заболеваний.
Главная цель лечения заключается в устранении рубцовых изменений и возвращении шейки матки в ее нормальное положение. Существуют основные методы терапии:
- Медикаментозное лечение.
- Деструктивные методы.
- Хирургическое вмешательство.
Лекарственная терапия оправдана, если искривление шейки матки вызвано гормональными сбоями или воспалительными процессами. Выбор медикаментов будет зависеть от типа инфекции или уровня нехватки гормонов.
К деструктивным методам относятся:
- Криодеструкция – удаление пораженных участков путем замораживания с использованием жидкого азота.
- Диатермокоагуляция. В этом случае на деформированные участки воздействуют токи высокой частоты.
- Лазерная пластика.
Эти методы эффективны при незначительных изменениях. Если же патология более серьезная, применяются хирургические методы:
- Иссечение. Удаление рубцовой ткани, при этом метод операции выбирается индивидуально. Могут использоваться лазер или радиоволны.
- При сужении или непроходимости канала шейки матки проводится бужирование с помощью специального инструмента. Обычно эту процедуру требуется повторить несколько раз.
- В случае значительных искривлений или рубцовых повреждений выполняется операция с последующей пластикой шейки матки.
После хирургической реконструкции естественные роды становятся невозможными.
Процесс восстановления после операции занимает около 10 дней, однако в зависимости от сложности вмешательства может длиться до 3 месяцев.
Осложнения и последствия
Заболевание поддается терапии, хоть и потребуется много сил и времени. При отсутствии эффективного лечения патология чревата развитием следующих осложнений:
- Развитие цервицитов, эндометритов, что повышает риск эрозии.
- Повышается риск ороговения тканей канала шейки.
- Нарушение формирования эпителия.
- Отмирание тканей и развитие злокачественных опухолей.
- Сильнейшие воспалительные процессы.
- При рубцовой форме заболевания снижается способность к зачатию.
- Повышается риск преждевременных родов и выкидышей.
Последствия не из приятных, но своевременно поставленный диагноз позволит подобрать эффективную терапию и избавиться от патологии.
Невозможно подстраховаться, чтобы избежать повреждений шейки матки и ее деформации. Но только внимательное отношение к своему здоровью существенно снижает риск развития заболевания. Правильная тактика лечения позволит предупредить развитие серьезных осложнений.

Профилактика деформации шейки матки
Профилактика деформации шейки матки является важным аспектом женского здоровья, так как это состояние может привести к различным осложнениям, включая бесплодие и повышенный риск выкидышей. Существует несколько методов, которые могут помочь снизить риск развития деформации шейки матки.
Регулярные медицинские осмотры. Один из самых эффективных способов профилактики – это регулярные гинекологические осмотры. Врач может выявить изменения в состоянии шейки матки на ранних стадиях, что позволит своевременно принять меры. Рекомендуется проходить осмотр не реже одного раза в год, а при наличии хронических заболеваний или других факторов риска – чаще.
Контроль инфекций. Инфекции, передающиеся половым путем (ИППП), могут негативно сказаться на состоянии шейки матки. Использование барьерных методов контрацепции, таких как презервативы, может помочь снизить риск передачи инфекций. Также важно проходить тестирование на ИППП и при необходимости получать соответствующее лечение.
Здоровый образ жизни. Поддержание общего здоровья организма также играет ключевую роль в профилактике деформации шейки матки. Правильное питание, регулярные физические нагрузки, отказ от курения и ограничение потребления алкоголя способствуют укреплению иммунной системы и снижению риска развития различных заболеваний.
Избежание травм. Травмы шейки матки, возникающие в результате абортов, родов или других медицинских процедур, могут привести к ее деформации. Поэтому важно выбирать квалифицированных специалистов и обсуждать все возможные риски перед проведением любых манипуляций.
Образование и осведомленность. Женщины должны быть информированы о возможных рисках и симптомах, связанных с деформацией шейки матки. Знание о том, какие факторы могут способствовать развитию этого состояния, поможет вовремя обратиться за медицинской помощью и предотвратить серьезные последствия.
В заключение, профилактика деформации шейки матки требует комплексного подхода, включающего регулярные медицинские осмотры, контроль инфекций, здоровый образ жизни, избегание травм и повышение осведомленности. Забота о своем здоровье и внимательное отношение к сигналам организма помогут сохранить здоровье репродуктивной системы и избежать серьезных осложнений.
Вопрос-ответ
Можно ли рожать с деформацией шейки матки?
Выраженная деформация шейки матки может быть причиной бесплодия. Это объясняется тем, что сперматозоиды не способны проникнуть к яйцеклетке и оплодотворить ее. Если беременность и состоится, в большинстве случаев родоразрешение возможно только через кесарево сечение.
От чего могут быть изменения в шейке матки?
Изменения чаще провоцируют воспалительные процессы, половые инфекции, травмы шейки матки при родах или абортах, гормональный дисбаланс. Возникает в любом возрасте, в том числе у подростков и нерожавших женщин.
Как лечить деформацию шейки матки?
Единственный эффективный способ лечения рубцовой деформации шейки матки, как и ее гипертрофии, – хирургическое устранение проблемы. Наиболее востребованным вариантом операции является конизация. Врачи иссекают пораженные области в виде конусов, а затем восстанавливают нормальную анатомию шейки и цервикального канала.
Что такое искривление шейки матки?
Загиб матки (ретрофлексия) – аномалия развития, при которой орган принимает нетипичное положение. Чаще всего наблюдается патологический загиб в сторону позвоночника. В итоге матка может быть смещена в одну сторону, а шейка – в другую. Возможны разные отклонения относительно влагалища.
Советы
СОВЕТ №1
Регулярно проходите гинекологические осмотры. Это поможет выявить любые изменения в состоянии шейки матки на ранних стадиях и предотвратить возможные осложнения.
СОВЕТ №2
Обратите внимание на симптомы. Если вы заметили необычные выделения, боли или изменения в менструальном цикле, не откладывайте визит к врачу.
СОВЕТ №3
Изучите информацию о факторах риска. Знание о том, какие факторы могут способствовать деформации шейки матки, поможет вам принимать меры для их минимизации, например, избегать курения и следить за своим здоровьем.
СОВЕТ №4
Обсуждайте свои опасения с врачом. Не стесняйтесь задавать вопросы и делиться своими переживаниями, чтобы получить полное представление о состоянии своего здоровья и возможных вариантах лечения.
