Опухолевое доброкачественное образование, которое исходит из железистой ткани гипофиза (передней или задней доли) называется аденомой. Клинический диагноз заболевания основывается на сочетании симптомов и признаков, зависящих от размера опухоли, а также от выделяемых ею гормонов.
Как диагностировать опухоль гипофиза
Для постановки диагноза необходимо обратиться к эндокринологу, неврологу, нейрохирургу. При повышенной утомляемости, беспричинной слабости, ухудшении зрения, перепадах настроения лучше обраться к первому специалисту. При выраженном неврологическом синдроме, когда беспокоит диплопия (двойное изображение) и частые головные боли, обусловленные давлением, которое опухоль гипофиза оказывает на турецкое седло, следует пойти на прием к неврологу или нейрохирургу.
Если есть признаки аденомы гипофиза, то назначаются следующие виды диагностики:
- тщательное гормональное, офтальмологическое обследование;
- нейровизуализация опухоли с помощью МРТ, КТ головного мозга, рентгенографии зоны турецкого седла и черепа;
- исследования крови и/или мочи для установления вида аденомы и степени ее активности;
- ангиография сосудов мозга (при микроаденоме), которая укажет на смещение сонной артерии, поможет дифференцировать опухоль гипофиза от внутричерепной аневризмы;
- анализ спинномозговой жидкости, который определит повышенный уровень протеинов, что может указывать на злокачественность аденомы.
Мнение врачей:
Аденома гипофиза – опухоль, которая может привести к различным симптомам у мужчин и женщин. Врачи отмечают, что у женщин чаще всего проявляется нарушение менструального цикла, головные боли, изменения в зрении, а также увеличение молочных желез. У мужчин симптомы могут быть более разнообразными, включая снижение либидо, нарушения зрения, головные боли, а также увеличение грудной клетки. Для диагностики аденомы гипофиза необходимо обратиться к эндокринологу, который проведет необходимые обследования, такие как МРТ головного мозга и анализы гормонов. Важно помнить, что своевременное обращение к специалисту позволяет начать лечение на ранних стадиях и избежать осложнений.

Гормональные исследования
Биологические среды, которые берут на гормональные исследования – это кровь и моча. Диагностика аденомы гипофиза начинается с них. Для здорового человека норма уровня гормонов в венозной крови должна быть следующей:
- Пролактин. У женщин – 110-555 единиц, у мужчин – 75-405 ед.
- Соматропин (СТГ). У взрослых – не более 10 единиц, у девочек – 9, у мальчиков – 6 ед.
- Адренокортикотропный гормон (АКТГ, кортикотропин). Абсолютный показатель для всех пациентов 9-52 пг/мл.
- Тестостерон. Женщины – 0,1-1.1 мкг/л, мужчины до 40 лет – 2,6-11 мкг/л, старше – 2,0 – 6,0 мкг/л.
- Фолликулостимулирующий гормон (ФСГ). Женщины – 1,1-500 мЕД/мл, мужчины – 1,4-13,5 мЕД/мл.
- Лютеинизирующий гормон (ЛГ). Женщины – 0,3-40 мЕД/мл, мужчины – 1,3-1,0 мЕД/мл.
- Тиреотропный гормон (ТТГ). У всех пациентов – 0,4-4,0 мЕД/л.
- Кортизол. У всех пациентов – 138-640 нмоль/л.

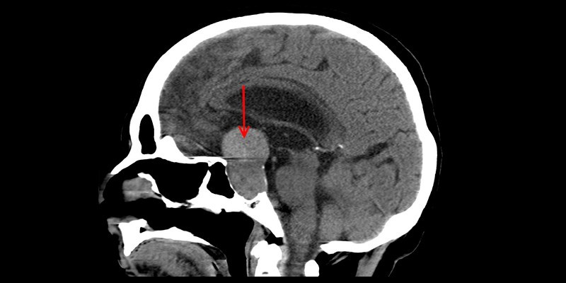
МРТ
Магнитно-резонансная томография определяет размер, локализацию опухоли, ее воздействие на окружающие ткани, наличие кровоизлияний, гиперинтенсивных кист.
Это безопасный и информативный метод исследования, не воздействующий отрицательно на зоны головного мозга. Особенностью МРТ опухоли гипофиза является то, что по показателям не только определяется наличие и характер аденомы, но и устанавливается, какие системы организма от нее могут пострадать.
Это врач видит по месторасположению новообразования.
С помощью магнитной томографии определяются все виды аденом: микроаденомы, макроаденомы, гигантские опухоли. Как правило, МРТ проводится без применения контрастирования, поскольку новообразование легко визуализировать в любых проекциях и срезах, в плоском и объемном изображении. При больших аденомах или для подтверждения онкологического диагноза применяют внутривенное введение контраста.
При анализе результатов МРТ размеры гипофиза в норме у женщин и мужчин составляют 10-17 мм по ширине, 3-8 мм по высоте. Магнитная томография не имеет возрастных ограничений. Недостатками диагностики являются: длительность процедуры и высокая стоимость. Противопоказания к проведению МРТ:
- наличие кардиостимулятора;
- имплантат среднего уха;
- установленный аппарат Елизарова;
- ферромагнитные осколки;
- внутричерепные металлические клипсы.

Статьи по теме
- Диета при пиелонефрите у детей: строгое питание
- Таблетки от мигрени быстрого действия – лучшие медикаменты с описанием и дозировкой
- Болезнь Меньера – лечение патологии

Опыт других людей
Диагностика аденомы гипофиза играет ключевую роль в своевременном выявлении этого заболевания у мужчин и женщин. Люди, обращая внимание на определенные симптомы, обычно обращаются к врачу. У женщин часто отмечается нарушение менструального цикла, головные боли, нарушения зрения. У мужчин симптомы могут проявляться в виде снижения либидо, головных болей, нарушения зрения. Важно помнить, что раннее обращение к специалисту и своевременная диагностика позволяют успешно лечить аденому гипофиза и предотвращать возможные осложнения.
КТ
Если проведение магнитной томографии противопоказано, специалисты направляют людей на КТ. Оценивается размеры и топография железы, наличие других образований, их строение, величина, распространение за пределы турецкого седла, прорастания в твердые оболочки головного мозга (кавернозный синус), в костные структуры. Недостатком диагностики является не такое высокое, как при МРТ, качество визуализации и то, что больные подвергаются лучевой нагрузке.
Современные 64-срезовые томографы сегодня позволяют получать изображения с высоким разрешением. Использование быстрого сканирования на таких аппаратах снижает лучевую нагрузку на организм пациента. КТ при небольшой опухоли гипофиза проводится чаще с контрастным усилением. Это связано с тем, что микроаденомы характеризуются низкой рентгеновской плотностью, поэтому не видны без контрастирования. Макроаденомы и опухоли большого размера визуализируются без контрастного усиления.
Абсолютных противопоказаний к проведению КТ мало – это ранние сроки беременности и чрезмерное ожирение. Введение внутривенного контраста имеет больше запретов:
- почечная недостаточность;
- гипертиреоз;
- аллергия на йод или рентгеноконтрастные препараты.

Рентген
В прошлые десятилетия основным методом диагностики опухоли гипофиза была рентгенография турецкого седла. Сейчас почти полностью ее вытеснили МРТ и КТ. Это связано с тем, что на рентгене плохо отображаются мягкие ткани, в отличие от томографии, где тело человека визуализируется в виде множества срезов. С помощью рентгенографии невозможно выявить микроаденому гипофиза. Сегодня рентгенография считается вспомогательным методом диагностики, при котором обнаруживаются характерные признаки и последствия аденомы:
- остеопороз (деструкцию ткани кости);
- двухконтурность дна турецкого седла.

Видео
https://youtube.com/watch?v=4C1EKNCZ2i8
Внимание!
Информация, представленная в статье, носит ознакомительный характер. Материалы статьи не призывают к самостоятельному лечению. Только квалифицированный врач может поставить диагноз и дать рекомендации по лечению, исходя из индивидуальных особенностей конкретного пациента.
Статья обновлена: 20.11.2019
Частые вопросы
Как понять что у тебя аденома гипофиза?
головные боли, особенно в лобной и/или височной областях, стойкие, не реагирующие на прием анальгетиков,тошнота, рвота,снижение остроты зрения,двоение в глазах,изменение полей зрения,Ещё
Какие признаки заболевания гипофиза?
головная боль,ограничение поля зрения,вторичная аменорея,галакторея,импотенция/пониженное либидо,признаки болезни Кушинга,гигантизм у детей,акромегалия у взрослых.
Какой гормон повышен при аденоме гипофиза?
Опухоли гипофиза, продуцирующие тиреотропный гормон (ТТГ), встречаются редко и составляют около 1–3% всех аденом гипофиза, наиболее часто наблюдаются у лиц молодого и трудоспособного возраста.
Какие анализы показывают опухоль гипофиза?
Обычно определяют уровень таких гормонов, как АКТ, кортизол, ТТГ, Т4, ЛГ, ФСГ, у женщин – эстрадиол, у мужчин – тестостерон, соматотропин, соматомедин-С (инсулиноподобный фактор роста-1), а также пролактин. При нарушениях зрения проводится также консультация офтальмолога.
Полезные советы
СОВЕТ №1
Внимательно следите за своим здоровьем и обращайте внимание на изменения в работе организма, такие как головные боли, нарушения зрения, нарушения менструального цикла у женщин и другие симптомы, которые могут указывать на аденому гипофиза.
СОВЕТ №2
При возникновении подозрений на наличие аденомы гипофиза обратитесь к врачу-эндокринологу для проведения комплексного обследования и диагностики заболевания.
СОВЕТ №3
Не откладывайте визит к врачу, если у вас есть подозрения на наличие аденомы гипофиза, так как раннее выявление и начало лечения позволяют избежать осложнений и снизить риск развития серьезных последствий.