Возникновение хронического абсцесса связано с недолеченной острой формой этой патологии. Критерий для диагностики такого заболевания – патологический процесс, который не завершается в течение 2 месяцев. Также признак хронического абсцесса – чередование ремиссий и обострений. Во время рецидивов симптоматика патологии усиливается.
Причины перехода острого абсцесса легкого в хронический
Всего формированием такого осложнения заканчиваются 2,5–8% случаев острого абсцесса. Морфологическими критериями патологии считаются необратимые изменения бронхов и легочной паренхимы. Причины перехода абсцесса легкого в хроническую форму делятся на две укрупненные группы:
- Ошибки лечения. Современная комплексная терапия редко выступает причиной хронитизации гнойно-воспалительных процессов.
- Особенности течения патологии. Чаще выступают причиной перехода деструктивных процессов из острой формы в хроническую.
Мнение врачей:
Хронический абсцесс легкого может возникнуть вследствие осложнения инфекции или туберкулеза. Врачи отмечают, что основными симптомами этого заболевания являются кашель с гнойным отхаркиванием, боль в груди, повышенная температура тела и общая слабость. Для диагностики абсцесса легкого необходимо провести рентгенологическое исследование, компьютерную томографию и бактериологические анализы мокроты.
Лечение хронического абсцесса легкого включает в себя применение антибиотиков для борьбы с инфекцией, дренирование гнойного содержимого и в некоторых случаях хирургическое вмешательство. Важно начать лечение своевременно, чтобы избежать осложнений и восстановить здоровье пациента. Врачи рекомендуют соблюдать все рекомендации специалистов и проходить регулярные обследования для контроля состояния легких и предотвращения возможных рецидивов.

Ошибки лечения
Основной причиной хронического абсцесса является позднее начало или раннее завершение антибактериальной терапии. В этом случае препараты либо уже не приносят нужный эффект, либо не успевают подействовать. Другие ошибки лечения:
- недостаточное дренирование гнойной полости;
- неадекватная антибактериальная терапия;
- недостаток общеукрепляющих лечебных мероприятий;
- медленное формирование гнойника, особенно у больных сахарным диабетом, у пожилых;
- использование низких дозировок антибиотиков;
- неэффективная санация гнойной полости.

Особенности течения патологии
Кроме локальных причин, в хронитизации абсцесса имеют значение дефицит нутриентов, курение, злоупотребление алкоголем, прием наркотиков, пожилой возраст.
Среди особенностей течения патологии переход ее в хроническую форму могут вызывать:
- недостаточная реакция организма на процесс воспаления;
- образование в полости секвестров;
- неблагоприятные условия для дренирования бронхов, если они слишком узкие или извитые;
- множественные полости деструкции;
- длительное нахождение в бронхе инородного тела;
- превышение диаметра полости в легком 6 см;
- локализация патологического процесса в нижней доле.


Опыт других людей
Хронический абсцесс легкого – серьезное заболевание, вызванное образованием гнойного полости в легочной ткани. Основные причины его возникновения связаны с инфекцией, чаще всего вызванной бактериями. Симптомы включают кашель с гнойной мокротой, боль в груди, лихорадку. Диагностика проводится с помощью рентгена, компьютерной томографии и бактериологических исследований. Лечение включает антибиотики, дренирование абсцесса и в некоторых случаях хирургическое вмешательство. Важно обратиться к врачу при первых признаках заболевания, чтобы избежать осложнений.
Симптомы абсцесса легкого
Клиническая картина заболевания зависит от его фазы. Во время ремиссии жалобы больного минимальны. Обострения возникают до 2–3 раз в течение года, чаще после ОРВИ или переохлаждения. Основные симптомы в зависимости от фазы:
|
Фаза |
Характерные признаки |
|
Ремиссия |
|
|
Обострение |
|

Статьи по теме
- Артериальный тромбоз – лечение с помощью лекарственных средств и народной медицины
- Что такое абсцесс – диагностика и как лечить в домашних условиях медикаментозно или народными методами
- Паратонзиллярный абсцесс горла – классификация, признаки, диагностика, абсцесстонзиллэктомия и осложнения
Признаки осложнений
При тяжелой гнойной интоксикации у больных могут развиваться тромбозы сосудов, а при распространении воспаления – осложнения со стороны органов не только дыхательной системы. Самые распространенные последствия:
|
Осложнения абсцесса легкого |
Признаки |
|
Гипертрофическая остеоартропатия |
|
|
Нарушения функции почек |
Отеки лица, стоп и поясницы. |
|
Эмпиема плевры |
|
|
Пневмоторакс |
|
|
Кахексия |
|

Дифференциальная диагностика
Хронический абсцесс нужно дифференцировать от туберкулеза, актиномикоза, полостной формы периферического рака легкого. Основная диагностика проводится по тем же принципам, что и при подозрении на острую форму гнойного воспаления. У большинства пациентов с хроническим абсцессом в анамнезе обнаруживается перенесенное ранее гнойно-деструктивное воспаление. Диагностика включает следующие исследования:
- общий анализ мочи;
- общий анализ крови;
- исследование системы гемостаза;
- спирография;
- фибробронхоскопия;
- рентгенологическое исследование;
- компьютерная томография легких;
- биохимическое исследование крови;
- электролитный состав крови.

Тактика лечения
Консервативные методы лечения помогают только на короткое время уменьшить проявления острого гнойно-воспалительного процесса. По этой причине такое лечение абсцесса легких считается неэффективным. Оно используется в качестве подготовки к хирургическому вмешательству. Абсолютные показания к проведению операции:
- быстро нарастающая интоксикация;
- повторные легочные кровотечения.
Операция и предоперационная подготовка
При хронических абсцессах эффективна только радикальная операция по резекции доли или всего легкого. Пневмотомию не проводят, поскольку гнойный очаг имеет плотную капсулу, а на фоне воспалительной инфильтрации легочной ткани вокруг него будет невозможна ликвидация полости воспаления. Способы проведения резекции:
- билобэктомия;
- лобэктомия;
- пульмонэктомия.
Подготовка к операции проводится по той же схеме, что и в случае операции по поводу острых абсцессов. Цель – добиться стихания воспалительного процесса, уменьшить объем мокроты и скорректировать белковый обмен. Мероприятия по подготовке:
- высококалорийная витаминизированная диета;
- антибиотикотерапия как системно, так и местно;
- прием отхаркивающих, бронхорасширяющих препаратов, ферментов;
- бронхоскопия для местной санации полости деструкции;
- аспирационные промывания полости абсцесса;
- инфузионная терапия для восполнения белковых потерь, электролитных нарушений, уменьшения гнойной интоксикации.
Видео
Внимание!
Информация, представленная в статье, носит ознакомительный характер. Материалы статьи не призывают к самостоятельному лечению. Только квалифицированный врач может поставить диагноз и дать рекомендации по лечению, исходя из индивидуальных особенностей конкретного пациента.
Статья обновлена: 08.09.2018
Частые вопросы
Что такое хронический абсцесс легкого?
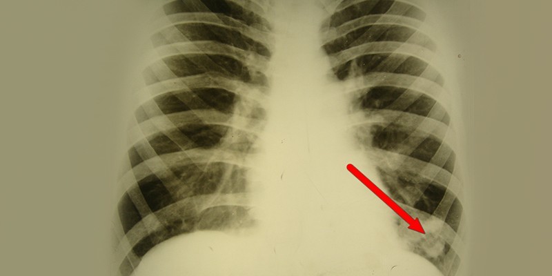
Хронический абсцесс легкого – длительно существующая полость нагноения в легком, ограниченная грубой фиброзной капсулой.
Как диагностировать абсцесс легкого?
Для постановки диагноза пациенту предложат сдать анализ крови и мочи, проведут анализ выделяемой мокроты и бактериоскопию с бакпосевом, что позволит точно выявить возбудителя и определить его чувствительность к медицинским препаратам. Также проводится рентгенография легких, КТ и МРТ легких и ряд других исследований.
Как отличить острый абсцесс от хронического?
Острые абсцессы характеризуются быстрым развитием и бурной клинической симптоматикой. Хронические – длительное скопление гноя без выраженного воспалительного процесса, чаще характерны для поражения внутренних органов.
Кто чаще болеет абсцессом легкого?
Среди всех воспалительных процессов в легких на долю абсцесса приходится почти 40 %. У мужчин патология встречается в 3 раза чаще, чем у женщин. Более половины абсцессов образуется в верхней доле правого легкого.
Полезные советы
СОВЕТ №1
При появлении характерных симптомов (какие именно указать) обратитесь к врачу-пульмонологу для проведения комплексного обследования.
СОВЕТ №2
Следуйте рекомендациям врача относительно лечения хронического абсцесса легкого, не прерывайте курс антибиотиков и других назначенных препаратов досрочно.
СОВЕТ №3
Поддерживайте свой иммунитет: правильное питание, физическая активность, отказ от вредных привычек помогут организму бороться с инфекцией.
