Аборт — это вмешательство в организм женщины, которое может вызвать изменения в матке. После медикаментозного или хирургического аборта матка проходит через физиологические и анатомические изменения, которые могут быть как нормальными, так и патологическими. В этой статье мы рассмотрим изменения в матке после аборта, как отличить норму от патологии и когда следует обратиться к врачу. Эта информация будет полезна женщинам, пережившим аборт, и медицинским специалистам, стремящимся понять последствия процедуры.
Состояние матки
Наибольшие последствия в результате данной процедуры испытывает именно матка. Это объясняется несколькими факторами. При хирургическом аборте большинство действий выполняется практически «вслепую» (хотя и с использованием специального оборудования). Поэтому даже высококвалифицированный специалист может случайно повредить полость матки из-за индивидуальных особенностей ее анатомии. Кроме того, сама процедура часто связана с травмами, так как выскабливание подразумевает удаление слоя эндометрия, на котором был прикреплен эмбрион.
Ситуация не лучше и при использовании медикаментозных средств для прерывания беременности. Это связано с тем, что во время такого аборта происходят резкие гормональные изменения и сбои. Эндометриальный слой матки подвергается изменению и отторжению. Хотя само тело матки остается нетронутым, восстановление эндометрия занимает довольно продолжительное время.
Как выглядит матка после аборта? Ее состояние можно оценить как визуально, так и с помощью УЗИ, а также ознакомиться с фотографиями в данном материале.
После аборта матка претерпевает значительные изменения, которые зависят от срока беременности и метода прерывания. Эксперты отмечают, что в первые дни после процедуры матка начинает сокращаться, возвращаясь к своему обычному размеру. Этот процесс может сопровождаться болями и выделениями, что является нормальной реакцией организма.
В течение нескольких недель слизистая оболочка матки восстанавливается, и менструальный цикл может вернуться к норме. Однако, по мнению специалистов, важно учитывать индивидуальные особенности каждой женщины. Некоторые могут столкнуться с осложнениями, такими как инфекции или нарушения цикла. Поэтому врачи рекомендуют регулярные осмотры и консультации для мониторинга состояния матки и общего здоровья. Важно помнить, что восстановление требует времени, и каждая женщина должна подходить к этому процессу с вниманием и заботой о своем организме.

После медикаментозного прерывания
Фармакологический аборт хорош тем, что полость матки при нем не повреждается. Прием гормональных препаратов влияет на функционирование яичников. В результате начинают вырабатываться гормоны, которые, по сути, провоцируют выкидыш. Матка начинает активно сокращаться, выталкивая плодное яйцо, при этом состояние пациентки такое же, как в первые дни менструации – присутствуют кровянистые выделения и боли в нижней части живота.
После такого вмешательства изменяется функция яичников. Что касается матки, наблюдается значительное истончение слизистой. Но обычно, она восстанавливается уже через 23-28 дней, к дате начала первой менструации после аборта.
| Стадия восстановления | Физиологические изменения в матке | Возможные осложнения |
|---|---|---|
| Непосредственно после аборта | Существенное сокращение матки, кровотечение (различной интенсивности), открытие шейки матки. | Сильное кровотечение, перфорация матки, неполное удаление плодного яйца. |
| Первая неделя после аборта | Продолжается сокращение матки, уменьшение кровотечения, заживление эндометрия. | Инфекция, послеабортный синдром (боль, лихорадка, кровотечение). |
| Вторая-четвертая неделя после аборта | Матка продолжает уменьшаться в размерах, шейка матки закрывается, эндометрий восстанавливается. | Инфекция, образование гематом, воспаление. |
| Четвертая-восьмая неделя после аборта | Матка почти полностью восстанавливает свои размеры, эндометрий полностью регенерирует. | Обычно осложнений не наблюдается, но возможны остаточные боли. |
| После восьмой недели | Матка возвращается к своему нормальному состоянию до беременности. | В редких случаях – спайки, нарушения менструального цикла (требуют консультации врача). |
Интересные факты
Вот несколько интересных фактов о том, как изменяется матка после аборта:
-
Восстановление размеров: После аборта матка начинает восстанавливаться и возвращаться к своим обычным размерам. Обычно это происходит в течение нескольких недель. В первые дни после процедуры матка может быть увеличена, но затем она постепенно сокращается, что связано с процессом регенерации тканей.
-
Гормональные изменения: После аборта в организме происходят значительные гормональные изменения. Уровень гормонов, таких как прогестерон и эстроген, резко снижается, что может влиять на менструальный цикл и общее состояние здоровья женщины. Это также может вызвать временные изменения в состоянии матки и ее слизистой оболочке.
-
Риск осложнений: В редких случаях после аборта могут возникнуть осложнения, такие как инфекция или неполное удаление тканей. Это может повлиять на здоровье матки и ее способность к будущим беременностям. Поэтому важно следить за состоянием здоровья и обращаться к врачу при появлении любых необычных симптомов.
Эти факты подчеркивают важность понимания изменений в организме после аборта и необходимости медицинского наблюдения.

После вакуум-аспирации
Это хирургическая процедура, которая считается наименее травматичной среди всех, хотя все же приводит к определенным изменениям в матке. Она имеет преимущество в том, что может проводиться даже на ранних сроках, когда плодное яйцо еще не прикрепилось, так как в процессе удаляется всё содержимое маточной полости. Во время вмешательства с помощью специальных препаратов или механическим способом расширяется цервикальный канал, после чего в полость матки вводится жидкость, которая затем удаляется вакуумным аспиратором вместе с плодным яйцом.
После такой процедуры, особенно если она проводилась на более поздних сроках, матка может оставаться увеличенной в течение продолжительного времени. Она активно сокращается в течение следующих 3-4 дней, что приводит к отторжению эндометрия. Восстановление эндометрия происходит примерно за месяц, после чего начинаются менструации.
После дилатации и эвакуации
Это относительно малотравматичный хирургический метод, при котором плодное яйцо, имплантированное в стенку матки, извлекается прицельно. Благодаря чему достигается минимальное повреждение собственно матки. Процедура достаточно быстрая, осуществляется под внутривенной анестезией, не требует госпитализации. В наибольшей степени показана в период с 7 по 9 недели вынашивания. Восстановительный период не слишком длительный – он длится 2-3 суток, на протяжении которых миометрий будет периодически продолжать сокращения, провоцируя спазмы и болезненные ощущения.
Орган достигает своих физиологических размеров в течение пяти-семи дней. К этому же периоду исчезают и болезненные ощущения. А менструальный цикл восстанавливается на протяжении 30-40 дней.
После дилатации и кюретажа
Такой вид вмешательства является наиболее травматичным. Шейка матки расширяется с использованием медикаментов или хирургическим способом, после чего вся полость органа очищается с помощью кюретки. В результате этого процесса происходит повреждение всей внутренней поверхности, что может вызывать сильные боли в течение продолжительного времени. Нормальным считается отсутствие сокращений матки после аборта, так как эндометрий не отторгается, а механически удаляется.
Период восстановления занимает достаточно много времени. Менструальный цикл восстанавливается лишь через 2-2,5 месяца после процедуры. Этот метод применяется исключительно в крайних случаях.
Состояние шейки матки
Помимо повреждения полости матки, может быть повреждена и шейка матки после аборта. Это происходит наиболее часто в тех случаях, когда плодное яйцо имеет достаточно большой размер. Могут возникать разрывы шейки, которые в дальнейшем рубцуются достаточно грубо, что осложняет следующий родовой процесс. Но это именно патологический исключительный случай, а не характерная для любого аборта ситуация.
Характерной для любого аборта ситуацией является разрушение пробки из цервикальной слизи в шейке матки. Кроме того, что эта пробка снижает вероятность наступления беременности, она еще и защищает матку от инфекций. Когда эта пробка отсутствует, вероятность проникновения инфекции в полость матки становится очень высокой. Может развиться эндоцервицит.
Потому на протяжении восстановительного периода очень важно тщательно следить за гигиеной, избегать использования вагинальных лекарственных средств (или по согласованию с врачом), избегать принятия ванн, плавания, половых актов.
Возможные повреждения матки
Какие осложнения могут возникнуть в процессе данной процедуры?
- Одним из самых серьезных и неприятных последствий является перфорация стенки органа во время хирургической чистки. Это состояние может проявляться болевыми ощущениями и интенсивными кровотечениями, которые могут возникнуть даже спустя 5-6 часов после вмешательства. Поэтому крайне важно внимательно следить за своим состоянием в первые дни после процедуры и, при необходимости, незамедлительно обратиться к врачу;
- Разрыв шейки матки – это редкое, но возможное осложнение. Если разрыв небольшой, он может зажить самостоятельно, однако может образоваться рубец, который в дальнейшем может усложнить процесс родов;
- Разрыв тела матки встречается крайне редко, но это серьезное состояние, которое может привести к необходимости удаления органа;
- Частые аборты могут привести к истончению стенок матки, что в свою очередь может затруднить имплантацию эмбриона при планировании беременности. В таких случаях может быть поставлен диагноз бесплодие.
Важно отметить, что травмы во время аборта в настоящее время встречаются гораздо реже, чем раньше. Процедура считается относительно безопасной, простой и быстрой, не требующей длительной госпитализации. Женщина лишь переводится в палату для восстановления после наркоза.
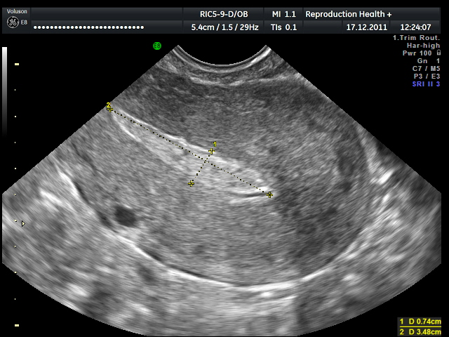
Матка после аборта на УЗИ
Основное, что видно на УЗИ в таком случае – это истонченный эндометрий. Но до определенного срока это является нормой. Можно на УЗИ также заметить и остатки продуктов гестации. То есть, иногда после аборта в полости матки остаются частицы плодного яйца, которые необходимо незамедлительно удалять, так как они могут стать причиной воспалительного процесса. Но остатки продуктов гестации обычно имеют место только при аборте на позднем сроке более 7 недель.
Гипоэхогенные включения на УЗИ могут быть признаком серьезных патологий. Они могут свидетельствовать о перфорации матки, говорить о скоплении в ней крови, остатках продуктов гестации, начинающемся эндометрите и т. д. Именно такой высокой информативностью УЗИ и объясняется то, что данная процедура почти всегда назначается после аборта.
Длительность сокращений после аборта
Как быстро сокращается матка после вмешательства? В зависимости от метода, использованного во время процедуры, этот процесс может занять от одного до трех дней. В течение этого периода женщины могут испытывать значительные боли в области нижнего живота, которые могут отдавать в поясницу и наружные половые органы. В процессе сокращения матки эндометрий полностью отторгается, после чего начинается его обновление и восстановление.
Отсутствие сокращений
Имеется ряд возможных болезненных состояний, при которых орган не станет сокращаться после аборта. Это говорит, что в нем скопились выделения того или иного типа, или остались части плодного яйца. При наличии участков плодного яйца проводится дополнительная чистка. При скоплении выделений может начаться патологический инфекционно-воспалительный процесс, который купируются антибиотиками и другими препаратами, для улучшения оттока.
Препараты для восстановления матки
В этот период специфическое лечение, как правило, не требуется. В случае травматических вмешательств могут быть назначены антибиотики широкого спектра на срок от 5 до 7 дней для предотвращения воспалительных и инфекционных осложнений. При медикаментозном аборте возможно применение гормональной терапии, но только через два месяца после процедуры. Это делается для восстановления гормонального баланса у пациентки.
Вывод
Из написанного выше можно сделать вывод, что хотя аборт в настоящее время – это почти полностью безопасная и простая процедура, она все же оказывает на организм существенное воздействие. По этой причине следует такого вмешательства избегать. Но если она все же необходима, то бояться идти на нее не стоит – квалифицированный врач способен осуществить процедуру лишь с минимальными последствиями для здоровья пациентки.

Психологические аспекты изменения матки после аборта
Аборт — это не только физическая, но и психологическая процедура, которая может оказывать значительное влияние на женщину. После аборта многие женщины испытывают широкий спектр эмоций, включая облегчение, вину, печаль и тревогу. Эти чувства могут быть связаны как с самим процессом прерывания беременности, так и с изменениями, происходящими в организме, в частности, в матке.
Физические изменения в матке после аборта могут вызывать у женщин беспокойство и страх. Например, некоторые могут переживать за возможность будущих беременностей или за здоровье матки в целом. Важно понимать, что матка после аборта восстанавливается, и большинство женщин могут забеременеть в будущем без каких-либо осложнений. Однако психологический аспект этого процесса может быть не менее важным.
Женщины могут испытывать чувство утраты, особенно если беременность была желанной. Это может привести к депрессии или тревожным расстройствам. Психологические последствия аборта могут проявляться в виде посттравматического стрессового расстройства (ПТСР), особенно если аборт был проведен в условиях, которые женщина считает травматичными. Симптомы ПТСР могут включать навязчивые мысли о беременности, ночные кошмары и избегание ситуаций, напоминающих о беременности.
Кроме того, социальное окружение и поддержка играют ключевую роль в процессе восстановления. Женщины, которые сталкиваются с осуждением или отсутствием поддержки со стороны близких, могут испытывать более сильные негативные эмоции. Важно, чтобы женщины имели возможность открыто обсуждать свои чувства и переживания, что может помочь в процессе эмоционального восстановления.
Психологическая помощь и терапия могут быть полезными для женщин, переживших аборт. Профессиональная поддержка может помочь справиться с чувством вины, тревоги и депрессии, а также научить справляться с эмоциями и восстанавливать уверенность в себе. Группы поддержки также могут стать важным ресурсом, позволяющим женщинам делиться своим опытом и находить понимание среди тех, кто прошел через аналогичные ситуации.
В заключение, изменения в матке после аборта — это не только физический процесс, но и глубокий психологический опыт. Понимание и принятие своих эмоций, а также поиск поддержки могут значительно облегчить этот период и помочь женщинам восстановить свое психоэмоциональное состояние.
Вопрос-ответ
Какие изменения происходят в матке сразу после аборта?
После аборта матка начинает сокращаться, чтобы вернуться к своему нормальному размеру. В течение первых нескольких дней может наблюдаться выделение крови, что является нормальной реакцией организма. Также могут возникать спазмы, связанные с сокращением мышц матки.
Как долго восстанавливается матка после аборта?
Восстановление матки после аборта может занять от нескольких недель до нескольких месяцев. В течение этого времени важно следить за своим состоянием и при необходимости обращаться к врачу. Полное восстановление может занять до 6 недель, но индивидуальные сроки могут варьироваться.
Какие возможные осложнения могут возникнуть после аборта?
После аборта могут возникнуть осложнения, такие как инфекция, сильное кровотечение или повреждение матки. Важно следить за симптомами, такими как высокая температура, сильная боль или необычные выделения, и обращаться к врачу при их появлении.
Советы
СОВЕТ №1
После аборта важно внимательно следить за своим состоянием. Обратите внимание на любые необычные симптомы, такие как сильная боль, обильные кровотечения или лихорадка. Если что-то вызывает беспокойство, не откладывайте визит к врачу.
СОВЕТ №2
Позаботьтесь о своем эмоциональном состоянии. Аборт может вызвать широкий спектр эмоций, и это нормально. Рассмотрите возможность обращения к психологу или участию в группах поддержки, чтобы обсудить свои чувства и переживания.
СОВЕТ №3
Дайте своему организму время на восстановление. После аборта матке требуется время для возвращения к нормальному состоянию. Избегайте физических нагрузок и половой жизни в течение рекомендованного врачом периода, чтобы не усугубить ситуацию.
СОВЕТ №4
Следите за своим менструальным циклом. После аборта цикл может измениться, и это нормально. Однако, если менструации не восстанавливаются в течение нескольких месяцев или становятся слишком болезненными, обратитесь к врачу для консультации.


