Трехслойный эндометрий — важный элемент женского репродуктивного здоровья, который подготавливает организм к беременности. Понимание структуры и формирования этого слоя слизистой оболочки матки помогает осознать процессы в женском организме и выявить возможные патологии. В статье рассмотрим, как появляется трехслойный эндометрий, его особенности и симптомы, что поможет разобраться в нормальных и патологических состояниях, связанных с этим элементом репродуктивной системы.
Определение
Трехслойный эндометрий является важным условием для успешного зачатия естественным путем или при помощи экстракорпорального оплодотворения. Врачи-репродуктологи зачастую отказываются проводить процедуру имплантации эмбриона, если трехслойный эндометрий не наблюдается. Что это означает?
На самом деле, эта слизистая оболочка состоит из двух основных слоев: базального и функционального. Базальный слой отличается высокой плотностью и остается неизменным на протяжении всего менструального цикла. Функциональный слой, в свою очередь, богат кровеносными сосудами, имеет менее плотную и рыхлую структуру и располагается на базальном слое, выстилая полость матки. Именно этот слой активно отторгается и затем восстанавливается в течение менструального цикла, покидая организм вместе с менструальными выделениями.
На функциональном слое располагается тонкий эпителиальный слой, который практически не подвержен влиянию гормонов. Когда на ультразвуковом исследовании удается четко визуализировать все три слоя, можно говорить о наличии трехслойного эндометрия. Таким образом, можно сделать вывод о том, что это такое. Это состояние, при котором в эндометрии хорошо различимы все три слоя:
- Базальный;
- Функциональный;
- Эпителиальный.
Однако такая картина наблюдается не всегда, а только на определенных стадиях менструального цикла.
Формирование трехслойного эндометрия является важным процессом в репродуктивной системе женщины. Эксперты отмечают, что этот процесс начинается с менструального цикла, когда под воздействием гормонов, таких как эстроген и прогестерон, происходит регенерация слизистой оболочки матки. В первую фазу цикла эндометрий утолщается, образуя три слоя: базальный, функциональный и спонтанный. Базальный слой служит основой для восстановления, в то время как функциональный слой подготавливается к возможной имплантации эмбриона. В случае отсутствия беременности функциональный слой отторгается, что приводит к менструации. Таким образом, циклические изменения в эндометрии обеспечивают готовность матки к беременности и играют ключевую роль в репродуктивном здоровье женщины.

Диагностика
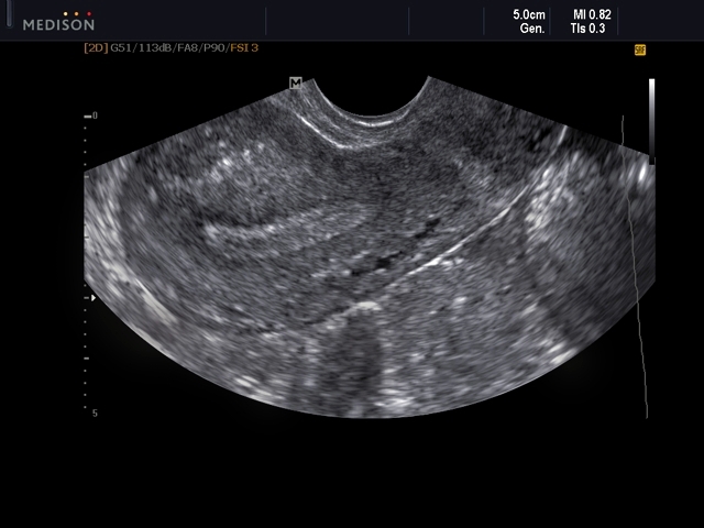
Как было сказано выше, основным диагностическим методом для данного состояния является УЗИ. При этом врачи УЗИ называют такую структуру линейной. Связано это с тем, что тогда как сами слои (базальный, функциональный и эпителиальный) имеют очень низкую эхогенность, границы между ними имеют эхогенность очень высокую. В результате они четко визуализируются на УЗИ в виде линий, разделяющих слизистую на три слоя.
Кроме этого метода, важную роль при сбоях и несвоевременном появлении такого строения, играют анализ на гормоны и инфекции с целью установить причину отклонения от нормы.
| Стадия цикла | Процесс | Морфологические изменения эндометрия |
|---|---|---|
| Пролиферативная фаза (фолликулиновая) | Действие эстрогенов, стимулирующих пролиферацию базального слоя эндометрия. Регенерация и рост железистого и стромального компонентов. | Утолщение эндометрия, формирование прямых, узких желез, увеличение количества стромальных клеток, появление спиральных артерий. |
| Секреторная фаза (лютеиновая) | Действие прогестерона, стимулирующего секрецию желез. Препарация эндометрия к имплантации. | Железы становятся извитыми и секретируют гликоген. Строма отекает. Спиральные артерии удлиняются и расширяются. Эндометрий достигает максимальной толщины (трехслойный). |
| Менструация | Отторжение функционального слоя эндометрия из-за спазма спиральных артерий и снижения уровня гормонов. | Отторжение функционального слоя (компактного и губчатого), остается только базальный слой, обеспечивающий регенерацию. |
Интересные факты
Вот несколько интересных фактов о формировании трехслойного эндометрия:
-
Циклические изменения: Трехслойный эндометрий формируется в результате циклических изменений, происходящих в организме женщины в течение менструального цикла. В первой фазе (фаза пролиферации) под воздействием эстрогенов эндометрий утолщается и формируется его функциональный слой, который состоит из клеток, способных к делению и росту.
-
Роль прогестерона: Во второй фазе цикла (фаза секреции) уровень прогестерона возрастает, что приводит к дальнейшему развитию эндометрия. В это время клетки начинают секретировать питательные вещества, создавая идеальные условия для имплантации оплодотворенной яйцеклетки. Именно в этот период эндометрий приобретает трехслойную структуру, состоящую из базального, функционального и секреторного слоев.
-
Имплантация и менструация: Если оплодотворение не происходит, уровень гормонов падает, и функциональный слой эндометрия отторгается, что приводит к менструации. Если же происходит имплантация, эндометрий продолжает развиваться и поддерживает беременность, обеспечивая эмбрион необходимыми питательными веществами и кислородом.
Эти факты подчеркивают важность гормонального баланса и циклических изменений в репродуктивной системе женщины.

Фаза цикла
Такое строение эндометрия считается нормальным и физиологически обоснованным, если оно наблюдается в первой фазе менструального цикла, известной как фаза пролиферации. В этот период эндометрий активно обновляется и восстанавливается, что приводит к его увеличению и почти полному восстановлению после менструальных выделений (по крайней мере, восстанавливается значительная часть толщины и функционального слоя). Это естественное состояние, которое возникает под воздействием гормона эстрогена, способствующего делению клеток и их росту.
Затем происходит овуляция. На организм начинает влиять прогестерон, который, помимо прочего, подавляет активность эстрогена, что замедляет процесс разрастания. Во второй фазе благодаря этому слизистая оболочка становится однородной, и на ультразвуковом исследовании уже не наблюдаются четкие границы между слоями. Таким образом, трехслойный эндометрий необходим на первой стадии цикла, так как он является условием для нормального зачатия. Даже если эндометрий имеет небольшую толщину (7-8 мм), но сохраняет трехслойную структуру, вероятность наступления беременности будет выше, чем при слизистой нормальной толщины, но не имеющей трехслойной организации.
Опасность
Отклонением от нормы считается ситуация, когда состояние слизистой не совпадает с фазой менструального цикла. Какую опасность представляет такой эндометрий во второй фазе? Если на этой стадии цикла диагностирован такой эндометрий, то опасность представляет не он, сам по себе, а причины, которые его вызвали. Зачастую, это гормональный сбой, связанный с выработкой прогестерона – если его недостаточно – то четкая визуализация слоев продолжается в большинстве случаев. Но могут быть и другие отклонения.
Если эндометрий в первой фазе однородный, или трехслойный во втором, то потенциально это может вести к бесплодию. В первую очередь оно развивается по причине гормонального дисбаланса. Кроме того, важную роль играет неспособность эмбриона прикрепиться к нездоровому эндометрию, потому лечить состояние нужно своевременно. Терапия проводится гормонами – эстрогеном, прогестероном, комбинированными эстрогеново-прогестероновыми оральными контрацептивами.

Лечение и коррекция
Лечение состояния трехслойного эндометрия является важным аспектом в гинекологии, особенно для женщин, планирующих беременность или сталкивающихся с проблемами репродуктивного здоровья. Трехслойный эндометрий — это нормальное состояние слизистой оболочки матки, которое характеризуется наличием трех четко различимых слоев: базального, функционального и спонгиозного. Эти слои играют ключевую роль в подготовке матки к имплантации эмбриона и поддержанию беременности.
При наличии отклонений в структуре эндометрия, таких как гиперплазия, полипы или атрофия, может потребоваться лечение. Важно отметить, что коррекция состояния эндометрия должна основываться на причинах, вызвавших изменения. Например, если причиной является гормональный дисбаланс, то лечение может включать гормональную терапию, направленную на восстановление нормального уровня эстрогенов и прогестерона.
В случаях, когда у женщины наблюдаются аномалии в цикле менструации или другие симптомы, такие как боли внизу живота или нерегулярные кровотечения, может быть рекомендовано ультразвуковое исследование для оценки состояния эндометрия. На основании полученных данных врач может назначить дополнительные исследования, такие как гистероскопия, для более детального изучения состояния слизистой оболочки матки.
Лечение может включать медикаментозные методы, такие как применение противовоспалительных средств, гормонов или препаратов, способствующих улучшению кровообращения в области малого таза. В некоторых случаях может потребоваться хирургическое вмешательство, например, удаление полипов или выскабливание эндометрия, если его состояние угрожает здоровью женщины или мешает наступлению беременности.
Кроме того, важным аспектом коррекции состояния эндометрия является изменение образа жизни. Правильное питание, регулярные физические нагрузки и отказ от вредных привычек могут значительно улучшить общее состояние организма и способствовать нормализации гормонального фона. В некоторых случаях может быть полезно обратиться к специалистам по альтернативной медицине, таким как фитотерапевты или акупунктуристы, которые могут предложить дополнительные методы поддержки здоровья эндометрия.
Таким образом, лечение и коррекция состояния трехслойного эндометрия требуют комплексного подхода, который включает в себя как медицинские, так и немедицинские методы. Важно помнить, что каждая женщина уникальна, и подход к лечению должен быть индивидуализированным, с учетом всех особенностей здоровья и репродуктивных планов.
Вопрос-ответ
Что такое трехслойный эндометрий и какова его роль в организме?
Трехслойный эндометрий — это структура слизистой оболочки матки, состоящая из трех основных слоев: базального, функционального и спонгиозного. Его основная роль заключается в подготовке матки к имплантации оплодотворенной яйцеклетки, а также в поддержании беременности. Функциональный слой отторгается во время менструации, если оплодотворение не произошло.
Как гормоны влияют на формирование трехслойного эндометрия?
Гормоны, такие как эстроген и прогестерон, играют ключевую роль в формировании трехслойного эндометрия. Эстроген способствует росту и утолщению функционального слоя, в то время как прогестерон подготавливает эндометрий к возможной имплантации эмбриона, поддерживая его структуру и кровоснабжение.
Какие факторы могут нарушить нормальное развитие трехслойного эндометрия?
Нормальное развитие трехслойного эндометрия может быть нарушено различными факторами, включая гормональные дисбалансы, стресс, хронические заболевания, инфекции, а также неправильное питание. Эти факторы могут привести к аменорее, дисфункциональным маточным кровотечениям и другим проблемам с репродуктивной системой.
Советы
СОВЕТ №1
Изучите цикл менструации. Понимание различных фаз менструального цикла поможет вам лучше осознать, как формируется трехслойный эндометрий и какие гормональные изменения этому способствуют.
СОВЕТ №2
Следите за своим здоровьем. Регулярные медицинские осмотры и консультации с гинекологом помогут выявить возможные проблемы с эндометрием на ранних стадиях и предотвратить осложнения.
СОВЕТ №3
Обратите внимание на питание. Здоровая диета, богатая витаминами и минералами, может поддерживать гормональный баланс и способствовать нормальному развитию эндометрия.
СОВЕТ №4
Изучите влияние стресса на организм. Хронический стресс может негативно сказываться на гормональном фоне и, как следствие, на состоянии эндометрия. Практикуйте методы релаксации, такие как йога или медитация.

