Сложная гиперплазия эндометрия — заболевание, характеризующееся аномальным разрастанием слизистой оболочки матки в типичной или атипичной форме. Понимание особенностей этого состояния, его симптомов и причин важно для своевременной диагностики и выбора лечения. В статье рассмотрим ключевые аспекты сложной гиперплазии эндометрия, включая консервативные и хирургические методы терапии, что поможет читателям лучше ориентироваться в проблеме и принимать обоснованные решения о здоровье.
Определение
Сложная гиперплазия эндометрия представляет собой состояние, характеризующееся аномальным увеличением клеток, составляющих эндометриальный слой матки. В результате этого процесса происходит заметное общее или локальное утолщение данного слоя, что приводит к значительному увеличению объема ткани. В этом случае может быть затронут как весь эндометрий, так и его отдельные участки.
Сложная гиперплазия эндометрия представляет собой патологическое состояние, характеризующееся избыточным разрастанием слизистой оболочки матки. Эксперты отмечают, что данное заболевание чаще всего возникает на фоне гормональных нарушений, особенно при избытке эстрогенов. В процессе развития гиперплазии эндометрия наблюдается утолщение слоя, что может привести к различным клиническим проявлениям, включая аномальные маточные кровотечения и боли внизу живота.
Специалисты подчеркивают важность ранней диагностики и мониторинга состояния пациенток, так как сложная гиперплазия может быть предшественником рака эндометрия. Лечение обычно включает гормональную терапию, а в некоторых случаях может потребоваться хирургическое вмешательство. Важно, чтобы женщины, испытывающие симптомы, своевременно обращались к врачу для проведения необходимых обследований и назначения адекватного лечения.

Отличие от простой
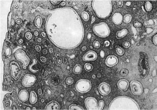
Сложной гиперплазия называется тогда, когда наблюдаются несколько типов разрастающихся тканей, несколько типов изменений в клетках. Так как в некоторых случаях разрастающиеся эпителиальные клетки изменяются. Например, если разрастается только железистая ткань, то патология называется простой железистой, а если железистая и соединительная, то сложной.
| Стадия развития гиперплазии | Гистологические изменения | Клинические проявления |
|---|---|---|
| Простая гиперплазия | Увеличение числа желез, сохранение нормальной архитектуры стромы. | Часто бессимптомно, возможны нерегулярные маточные кровотечения. |
| Сложная гиперплазия | Значительное увеличение числа желез, нарушение архитектуры стромы, атипия клеток (различной степени). | Более обильные и частые маточные кровотечения, межменструальные кровянистые выделения, анемия. |
| Атипическая гиперплазия | Выраженная железистая атипия, потенциально предраковое состояние. | Как и при сложной гиперплазии, возможны обильные и нерегулярные кровотечения. |
Интересные факты
Вот несколько интересных фактов о сложной гиперплазии эндометрия:
-
Гормональный дисбаланс: Сложная гиперплазия эндометрия часто связана с избытком эстрогенов и недостатком прогестерона. Это может происходить из-за различных факторов, включая ожирение, поликистоз яичников и гормональные нарушения. Эстрогены стимулируют рост эндометриальной ткани, что может привести к гиперплазии.
-
Риск развития рака: Сложная гиперплазия эндометрия считается предраковым состоянием. При отсутствии лечения она может прогрессировать в эндометриальную карциному. Поэтому важно проводить регулярные обследования и следить за состоянием здоровья, особенно у женщин с факторами риска.
-
Симптомы и диагностика: Женщины с сложной гиперплазией эндометрия могут испытывать аномальные маточные кровотечения, такие как меноррагия (обильные менструации) или межменструальные кровотечения. Диагностика обычно включает ультразвуковое исследование и биопсию эндометрия для подтверждения диагноза и исключения рака.

Разновидности
Существует несколько категорий данного заболевания. Наиболее распространенным является деление по типу и наличию изменений в патологических клетках. В соответствии с этим выделяют два основных вида:
- Сложная гиперплазия эндометрия без атипии – это состояние, при котором растущие клетки сохраняют свой нормальный, характерный для данного типа вид. То есть все новые ткани состоят из традиционных и типичных по своей структуре клеток;
- Сложная гиперплазия эндометрия с атипией – это состояние, при котором наблюдается рост измененных клеток. Изменения могут проявляться в увеличении, деформации, исчезновении ядер и других аномалиях. Если в избыточных тканях обнаруживаются атипичные клетки, это указывает на наличие атипии.
Тип изменений, а также сама гиперплазия, определяется врачом после проведения диагностического выскабливания. Эти различные типы изменений требуют индивидуального подхода к лечению и/или наблюдению.
Формы
Иногда проводят классификацию данной патологии и по другим параметрам. В частности, популярно ее разделение по типу измененной или разрастающейся ткани:
- Железистая – при ней, преимущественно, разрастается железистая ткань, в меньшей мере в процесс может быть вовлечена и какая-либо еще;
- Железисто-кистозная – состояние, при котором изменяется преимущественно железистая ткань, но некоторые клетки приобретают со временем кистозные характеристики;
- Полипозная – когда разрастание строго локально и выглядит как полип.
Все атипичные типы изменений также делятся на две больших группы:
- Комплексная атипическая гиперплазия эндометрия диффузная – патология, при которой в процесс патологического разрастания и изменения втянуты клетки на всем эндометрии;
- Комплексная атипическая гиперплазия эндометрия очаговая – патология, когда разрастание или атипические изменения наблюдаются только на определенном участке эндометрия.
Существуют и некоторые другие параметры, по которым проводится классификация, но они не столь распространены.

Встречаемость
Данное заболевание часто связано с изменениями в гормональном фоне. Оно, как правило, проявляется в периоды значительных гормональных колебаний. Поэтому чаще всего страдают девушки-подростки и женщины старше сорока лет, находящиеся в предменопаузальном состоянии. При этом вторая категория пациентов сталкивается с этой проблемой значительно чаще, чем первая.
Сложная гиперплазия является наиболее распространенной формой данного заболевания. Она составляет примерно 40-50% всех зарегистрированных случаев гиперплазии.
Переход в рак
Мнение о том, что гиперплазия это рак, ошибочно. Однако стоит учитывать, что комплексная атипическая гиперплазия эндометрия способна перейти в онкологический процесс. И это одно из самых неприятных последствий, к которым она может приводить. Рак эндометрия достаточно сложно диагностируется и вылечивается.
Дело в том, что появление атипических клеток само по себе говорит о течении предракового процесса. Однако такое развитие болезни происходит только без лечения у 30-50% (по разным исследованиям) пациенток. Причем, у взрослых женщин чаще, чем у подростков.
Если атипичные клетки отсутствуют, вероятность перехода в рак очень мала – около 10%. И то, произойдет это только в случае, если появится атипия. Что происходит редко.
Симптомы
Симптомы данного заболевания не являются специфичными, что затрудняет его диагностику и иногда приводит к запоздалому выявлению, особенно в случае очаговых форм. В основном, изменения связаны с менструальным циклом. Возможны следующие проявления:
- Нерегулярность цикла, его значительные изменения, часто – небольшие задержки;
- Увеличение объема выделений, которое может происходить резко или постепенно;
- Появление ациклических кровотечений, которые у подростков имеют прорывной характер, а у женщин взрослого возраста – обычный.
Из-за значительной потери крови могут возникать и другие сопутствующие симптомы. К ним относятся бледность, слабость, сонливость и повышенная утомляемость. В анализах крови в этот период может быть выявлена анемия.
Причины
Почему же развивается такое явление? Чаще всего его причиной являются гормональные изменения. Они повышают активность пролиферозных процессов, в результате чего начинается активный рост тканей. Предрасполагающими факторами являются:
- Наличие абортов и частых диагностических выскабливаний, других травм эндометрия;
- Отказ от использования оральных контрацептивов;
- Частые беременности;
- Отсутствие беременностей и родов в прошлом у взрослых женщин;
- Наличие кист, полипов, миом, иных процессов, связанных с разрастанием тканей;
- Наличие эндокринных нарушений и нарушений в работе щитовидной железы;
- Эндометриозы, эндометриты.
Также отмечается, что у пациенток с таким диагнозом нередко присутствует мастопатия.
Диагностика
Поскольку симптомы заболевания являются крайне неспецифичными, диагностика гиперплазии эндометрия без атипии или с атипией может представлять собой серьезную трудность. В первую очередь осуществляется сбор анамнеза, на этом этапе учитываются сведения о перенесенных заболеваниях, родах, абортах, образе жизни, методах контрацепции и других факторах.
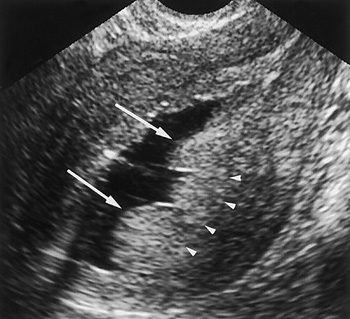
Затем проводится осмотр, чаще всего с использованием кольпоскопии. Этот метод позволяет оценить общее состояние репродуктивной системы женщины. После этого назначается ультразвуковое исследование, в ходе которого определяется степень увеличения эндометрия.
На основании полученных данных принимается решение о необходимости проведения диагностического выскабливания, так как эта процедура является травматичной и потенциально опасной. Если выскабливание требуется, его выполняют в кратчайшие сроки. Полученный материал отправляется на гистологическое исследование, по результатам которого назначается дальнейшее лечение.
К кому обратиться?
Какой же врач лечит такое состояние и куда обратиться при подозрении на него? Первый визит стоит нанести к гинекологу общего профиля. Он проведет осмотр и назначит необходимые исследования. Если в результате них будет установлено, что это рак, то он перенаправит пациентку к гинекологу-онкологу.
Медикаментозное лечение проводит гинеколог-терапевт общего профиля. Радикальное (хирургическое) – хирург-гинеколог.
Терапия
Лечение проводится с использованием двух основных методов. Консервативный метод включает в себя применение гормональных средств. Радикальный метод предполагает проведение хирургической операции. Выбор подхода зависит от наличия атипичных клеток.
Схема лечения сложной гиперплазии без атипии
Такое заболевание развивается из-за повышения в организме содержания гормона эстрогена. Необходимо выровнять его уровень. Для этого назначаются комбинированные оральные контрацептивы, такие как Жанин, Янина и Регулон. В зависимости от особенностей гормонального статуса пациентки могут применяться гестагены, антигонадотропины, агонисты гонадотропин-рилизинг-фактора.
Для введения в организм гормона прогестерона могут применяться внутриматочные спирали, такие как Мирена. Наиболее простым способом лечения является введение инъекции Бусерелина один раз в 28 дней. При этом необходимо всего три инъекци.
Лечение длится от трех месяцев до полугода. Но уже после двух месяцев лечения проводится диагностическое выскабливание под контролем гистероскопии для оценки состояния пациентки. Признаком успешности терапии служит истончение и деградация эндометрия, его уменьшение до нормальных размеров. Если диагностирована комплексная гиперплазия эндометрия без атипии, то хирургическое лечение назначается редко и только при множественных рецидивах.
Схема лечения сложной гиперплазии с атипией
При обнаружении атипии медикаментозное лечение остается неизменным, однако его применение происходит довольно редко. Если в течение короткого времени после начала терапии не наблюдается положительных изменений, необходимо прибегнуть к хирургическому вмешательству. Это позволит не упустить момент, когда гиперплазия может перерасти в рак.
В качестве одного из методов может использоваться прижигание внутренней оболочки матки с помощью лазера или электрического тока. Этот подход особенно востребован при очаговых патологиях.
Иногда также применяется механическое выскабливание внутренней поверхности матки. В крайних случаях, когда женщина не планирует иметь детей в будущем, может быть рекомендовано удаление матки. Для женщин, находящихся в периоде климакса или перед ним, полное удаление матки является предпочтительным вариантом, так как это значительно снижает риск развития онкологических заболеваний.
Беременность
Гиперплазия эндометрия – это патологический процесс, при котором зачатие осложнено. Также редко развитие беременности протекает без патологий. Может быть осложнен и родовой процесс. Потому беременеть с этим диагнозом не рекомендуется. С другой стороны, планировать зачатие можно почти сразу после прохождения медикаментозной терапии.
Осложнения
Как атипичная, так и не атипичная гиперплазия могут привести к множеству нежелательных последствий. К ним относятся:
- Анемия, возникающая из-за постоянных значительных кровопотерь;
- Бесплодие, связанное с тем, что эмбрион не может прикрепиться к патологически измененному эндометрию;
- Риск перехода в онкологический процесс из-за атипичных изменений клеток.
Серьезные осложнения возникают лишь в случае отсутствия лечения. При своевременном и полном лечении заболевание успешно поддается терапии.
Профилактика
Сложная гиперплазия эндометрия включает в себя несколько ключевых аспектов, направленных на снижение риска развития этого заболевания и его осложнений. Основные меры профилактики можно разделить на медицинские, образ жизни и регулярные обследования.
Медицинские меры: Важно регулярно проходить медицинские осмотры и консультации у гинеколога, особенно женщинам, находящимся в группе риска. К группе риска относятся женщины старше 40 лет, с нарушениями менструального цикла, а также те, кто имеет в анамнезе заболевания, связанные с гормональными нарушениями, такие как поликистоз яичников или диабет. При наличии таких заболеваний необходимо строго следовать рекомендациям врача и, при необходимости, проходить гормональную терапию.
Образ жизни: Здоровый образ жизни играет важную роль в профилактике сложной гиперплазии эндометрия. Это включает в себя сбалансированное питание, богатое витаминами и минералами, регулярные физические нагрузки и отказ от вредных привычек, таких как курение и злоупотребление алкоголем. Избыточный вес также является фактором риска, поэтому поддержание нормального веса через диету и физическую активность может существенно снизить вероятность развития гиперплазии.
Регулярные обследования: Женщинам рекомендуется проходить ультразвуковое исследование органов малого таза и, при необходимости, гистероскопию для оценки состояния эндометрия. Эти процедуры помогают выявить изменения на ранних стадиях и своевременно принять меры. Также важно следить за менструальным циклом и обращать внимание на любые изменения, такие как нерегулярные менструации, обильные кровотечения или длительные задержки.
Гормональная терапия: В некоторых случаях врач может рекомендовать гормональную терапию для регулирования уровня эстрогенов и прогестерона в организме. Это может помочь предотвратить развитие гиперплазии у женщин с гормональными нарушениями. Однако назначение гормональных препаратов должно проводиться только квалифицированным специалистом после тщательной оценки состояния здоровья пациентки.
Таким образом, сложная гиперплазия эндометрия требует комплексного подхода, включающего медицинские меры, здоровый образ жизни и регулярные обследования. Следуя этим рекомендациям, женщины могут значительно снизить риск развития данного заболевания и его осложнений.
Вопрос-ответ
Что такое сложная гиперплазия эндометрия и как она возникает?
Сложная гиперплазия эндометрия — это аномальное разрастание слизистой оболочки матки, которое может возникать в результате гормонального дисбаланса, особенно избыточного уровня эстрогенов без достаточного количества прогестерона. Это состояние может быть связано с различными факторами, такими как ожирение, поликистоз яичников, а также некоторые лекарства и заболевания.
Какие симптомы могут указывать на сложную гиперплазию эндометрия?
Симптомы сложной гиперплазии эндометрия могут включать аномальные маточные кровотечения, такие как обильные менструации или кровотечения между менструациями, а также боли внизу живота. В некоторых случаях заболевание может протекать бессимптомно, что делает регулярные обследования важными для раннего выявления.
Как проводится диагностика и лечение сложной гиперплазии эндометрия?
Диагностика сложной гиперплазии эндометрия обычно включает ультразвуковое исследование и биопсию эндометрия для анализа тканей. Лечение может варьироваться в зависимости от степени гиперплазии и наличия симптомов, и может включать гормональную терапию, такие как прогестерон, или хирургическое вмешательство, например, выскабливание матки.
Советы
СОВЕТ №1
Регулярно проходите медицинские обследования. Сложная гиперплазия эндометрия может не проявляться явными симптомами, поэтому важно регулярно посещать гинеколога для раннего выявления возможных проблем.
СОВЕТ №2
Обратите внимание на свое питание. Здоровая диета, богатая фруктами, овощами и цельными злаками, может помочь поддерживать гормональный баланс и снизить риск развития гиперплазии.
СОВЕТ №3
Управляйте стрессом. Хронический стресс может влиять на гормональный фон и способствовать развитию различных заболеваний, включая гиперплазию. Практикуйте методы релаксации, такие как йога или медитация.
СОВЕТ №4
Обсуждайте с врачом возможные варианты лечения. Если у вас диагностирована сложная гиперплазия эндометрия, важно обсудить все доступные методы лечения, включая медикаментозную терапию и хирургические варианты, чтобы выбрать наиболее подходящий для вас.


