Генитальный хламидиоз – коварное заболевание, которое часто становится причиной женского бесплодия и срыва беременности среди женщин. Провоцируют возникновение венерического заболевания грамотрицательные бактерии – хламидии. Передается заболевание чаще половым путем, реже – бытовым. Например, через белье, предметы гигиены, банные принадлежности при условии их использования больным человеком.
Симптомы болезни у женщин отличаются от признаков, возникающих у мужчин. При этом они могут быть самыми различными. Нередко заболевание протекает без каких-либо симптомов, что приводит к его осложнению. О хламидиозе крайне необходимо знать женщинам, которым небезразлично свое здоровье.
Что это такое?
Хламидиоз — заболевание инфекционного характера, причиной которого являются внутриклеточные паразиты — хламидии, поражающие органы мочеполовой системы.
Причины и факторы риска
Возбудителями хламидиоза у женщин являются внутриклеточные микроорганизмы Chlamydia trachomatis. Эти бактерии могут длительное время находится в организме человека, не вызывая клинических проявлений, в случае же ослабления защитных сил организма хламидии начинают усиленную жизнедеятельность и рост, вызывая признаки хламидиоза у женщин. Наиболее частым путем передачи хламидиоза является половой – как при традиционном, так и при нетрадиционных видах незащищенного полового акта.
Кроме того, передача хламидиоза может произойти на этапе внутриутробного развития или во время родов от матери к ребенку при прохождении плода через родовые пути. Наблюдается и контактно-бытовой путь передачи заболевания – через контаминированные инфицированными выделениями руки, предметы индивидуальной гигиены, постельное белье и пр. Такие случаи заражения редки, так как хламидии вне организма быстро погибают. Известны случаи передачи хламидиоза во время гемотрансфузий.
Первые признаки
Чаще заражение хламидиями не дает симптомов, но в некоторых случаях наблюдаются определенные жалобы.
Первые признаки хламидиоза у женщин:
- Чувство небольшой болезненности и дискомфорт при мочеиспускании;
- Ощущение повышенной влажности половых органов;
- Чувство жжения в области наружных половых органов и зуд в мочеиспускательном канале;
- Слизисто-гнойные выделения из влагалища. При осмотре выделения появляются при надавливании на пораженный участок;
- Тянущие боли в нижней области живота;
- Дефект в виде эрозии в области шейки матки;
- Тяжесть и боль в поясничном отделе позвоночника;
- Нарушение менструального цикла;
- Общая слабость и повышение температуры тела.
Так же может возникнуть хламидийный конъюнктивит, при вовлечении глаз в патологический процесс.
Симптомы хламидиоза у женщин
Это заболевание может многие годы протекать бессимптомно, признаки заболевания обнаруживаются только у 30–40 % женщин. Однако скрытое течение процесса вовсе не безопасно: хламидиоз, даже протекающий без каких-либо симптомов, может стать причиной многих осложнений вплоть до бесплодия. Инкубационный период заболевания составляет 2–4 недели, поэтому появление каких-либо симптомов часто не связывается с половыми контактами, имевшими место в прошлом.
В зависимости от пораженного инфекцией органа, возникают различные заболевания и проявляются явные симптомы.
- Уретрит – поражение хламидиями мочеиспускательного канала с развитием жжения и боли при справлении малой нужды.
- Бартолинит – воспалительные процессы в бартолиниевой железе, которая находится с двух сторон у входа во влагалище. Проявляется болью, отеком и покраснением со стороны поражения, повышением температуры тела.
- Эрозия и воспаление шейки матки (эндоцервицит), сопровождающиеся тянущими болями внизу живота, появлением слизисто-гнойных выделений, нередко кровомазаньем после полового акта.
- Сальпингит и аднексит – воспаление маточных труб и яичников (часто это сочетанная патология). Боли в правом или левом боку, нарушения менструального цикла, повышение температуры тела — такие симптомы позволяют заподозрить хламидиоз придатков у женщин.
- Эндометрит (воспаление внутреннего слоя матки) – характерные симптомы: высокая температура тела, маточные кровотечения, слизисто-гнойные выделения, выраженной болью за лобком.
- Хламидийный фарингит – возникает при инфицировании во время орального секса. Характеризуется першением в горле, болями при глотании.
- Пельвиоперитонит – поражение брюшины в области малого таза. При этом возникают довольно резкие боли в животе, запор, вздутие живота, напряжение брюшной стенки.
- Артрит (синдром Рейтера) – хронический хламидиоз у женщин может привести к аутоиммунному воспалению суставов.
- Хламидийный проктит – воспаление прямокишечной слизистой оболочки (после незащищенных анальных контактов) с появлением болей, слизисто-гнойных выделений из ануса.
- Воспаление легких — первые признаки хламидийного воспаления характеризует кашель, боли в грудной клетке, одышка, повышение температуры тела.
- Конъюнктивит – поражение глаз с развитием слезотечения, покраснения, жжения. Развивается при заносе инфекции в глаза грязными руками, при совместном использовании полотенец.
Само по себе заражение может протекать скрыто — первые симптомы возникнут вместе со спровоцированными инфекцией болезнями!
Диагностика
Методики, помогающие диагностировать хламидиоз:
- Бактериологический посев микрофлоры. Определяется наличие бактерий. Для него может использоваться кровь, моча, половые выделения.
- ПЦР. Полимеразная цепная реакция в течение нескольких часов поможет установить возбудителя болезни даже по одному маленькому фрагменту, если таковой находился в исходном материале.
- РИФ. Анализ реакции иммунофлюоресценции путем окрашивания материала специальным реагентом. Флюоресцентный микроскоп при наличии хламидий высветит их.
- ИФА. С помощью иммуноферментного анализа крови определяют антитела к хламидиям. Уточняется, в какой стадии находится заболевание.
- Мазок. Небольшое количество выделений из мочеиспускательного канала, влагалища рассматривают с помощью микроскопа.
Лабораторные исследования имеют большое значение для постановки правильного диагноза, так как имеющийся хламидиоз: невыраженные симптомы у женщин встречаются очень часто, протекают в скрытой форме. Анализ крови, мазок из влагалища сдают в несколько этапов – в начале лечения и контрольный по окончании.
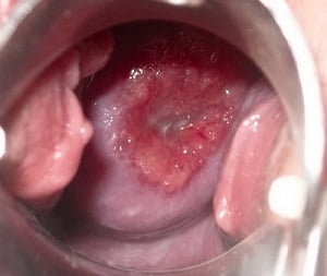
Как выглядит хламидиоз: фото
На фото ниже показано, как проявляется заболевание у женщин.
Что будет, если не лечить?
Осложнения хламидиоза у женщин:
- Спаечный процесс приводит к возникновению хронических болей в области малого таза.
- Сальпингоофорит осложняется пельвиоперитонитом — воспалением брюшины малого таза. Острая фаза болезни протекает с высокой температурой тела и сильными болями внизу живота. При переходе болезни в хроническую фазу течения острота клинических симптомов сглаживается.
- При распространении инфекции в верхнюю область брюшной полости появляются сильные боли в правом подреберье, что говорит о поражении капсулы печени (синдром Фитца-Хью-Куртиса). Развитие мощного спаечного процесса приводит к хроническим болям в верхнем этаже брюшной полости.
- Хроническое воспалительное заболевание шейки матки, тазовых органов, органов брюшной полости — грозные осложнения хламидиоза у женщин. Множественные спайки являются причиной развития патологии беременности и инфицированию плода либо во время беременности, либо во время родов.
- У некоторых хламидий обнаружен белок теплового шока, способный вызывать аутоиммунные реакции. У таких больных развивается синдром Рейтера, при котором воспаление влагалища сочетается с реактивным артритом одного или нескольких суставов и воспалением слизистой оболочки глаза (конъюнктивит). Синдром развивается в 20 раз чаще у мужчин.
Чаще всего хламидиоз у женщин часто протекает со сглаженной симптоматикой и принимает хроническую форму с минимальным количеством внешних проявлений, оказывая значительное воздействие на репродуктивную систему человека.
Нужно ли лечиться половому партнеру (мужу, парню)?
Если у вас был обнаружен хламидиоз, обязательно сообщите об этом своему сексуальному партнеру. Ему необходимо обратиться к урологу и сдать анализы на венерические инфекции.
Даже если у вашего партнера хламидия не будет обнаружена, ему все равно нужно пройти курс лечения.
Лечение хламидиоза у женщин
Проблему комплексного лечения хламидийной инфекции у женщин следует решать с учетом клинической картины у пациентки. Готовых алгоритмов, общих схем лечения хламидиоза у женщин нет, поскольку в каждом конкретном случае стоит учитывать состояние иммунитета, сопутствующие заболевания, состояние микрофлоры кишечника.
Любая бактериальная инфекция, и хламидиоз в том числе, требует применения антибиотиков. Поскольку возбудитель инфекции паразитирует внутриклеточно, то и выбор антибиотиков при лечении хламидиоза должен ограничиваться только такими антимикробными средствами, которые способны уничтожить инфекцию внутри клеток:
- Тетрациклины: Доксициклин — Юнидокс солютаб, Дорикс, Вибрамицин, Вибра-Табс.
- Макролиды: Азитромицин (Сумамед, Зитромакс, Хемомицин), Джозамицин (Вильпрафен) и Кларитромицин (Кларбакт, Фромилид Уно)
- Фторхинолоны: Офлоксацин (Флоксин, Заноцин, Таривид, Офлоксин), Левофлоксацин (Таваник, Глево, Левостар, Флексид), Ципрофлоксацин (Цифран, ципробай, ципринол, Ципро-бид), Спирамицин (Ровамицин), Норфлоксацин (Нолицин, норбактин), Ломефлоксацин (Ломфлокс), Спарфлоксацин (Спарфло).
Обязательно должно учитываться наличие сопутствующих инфекций, передающихся половым путем, для того чтобы выбор антибиотика был максимально эффективен при наличии смешанной инфекции.
Существуют Европейские рекомендации лечения хламидиоза, согласно которым назначается:
- Азитромицин 500 мг 2 табл. однократно, или Доксициклин 0,1 дважды в сутки 7 дней.
- При такой схеме эффективность лечения достигает 97%.
- Эритромицин 500 мг 4 раза в сутки черехз 6 часов 7 суток
- Офлоксацин 300 мг дважды в сутки через 12 часов на 7 дней
- Рокситромицин 150 мг дважды в сутки через 12 часов 7 дней
- Спирамицин 3 млн Ед каждые 8 часов 7 дней
- Эритромицин 500 мг через 6 часов 4 раза в сутки 7 дней
- Джозамицин 750 мг 3 раза в сутки через 8 часов 7 дней
- Спирамицин 3 млн Ед через 8 часов 3 раза в сутки 7 дней.
Вся информация о препаратах и схемах лечения предназначена только для ознакомления. Лечение хламидиоза осуществляется только квалифицированным специалистом на основании результатов анализов, анамнеза пациентки, в динамике с учетом критериев излеченности.
Иммуномодуляторы
Являются важной составляющей эффективной терапии хламидиоза и применяются при острых и хронических хламидийных инфекциях. К ним относятся: «Метилурацил», «Тималин», «Таквитин», «Лизоцим», «Виферон», «Полиоксидоний», «Циклоферон».
В последнее время для лечения женского хламидиоза очень широко используется препарат «Полиоксидоний», особенно если присутствует атипичная форма урогенитального хламидиоза. «Полиоксидоний» способствует повышению выработки антител, а также уменьшает побочные действия других препаратов, сокращает период выздоровления, увеличивает резистентность организма к другим инфекциям.
Но стоит помнить, что категорически запрещен самостоятельный прием каких-либо препаратов, а особенно иммуномодуляторов.
Схемы лечения хламидиоза у женщин
Эффективное лечение инфекции у женщин основано на приеме препаратов, которые уничтожают хламидии или угнетают рост микроорганизмов. Врач дает общую оценку состояния организма пациентки, выявляет сопутствующие заболевания, чтобы назначить правильную терапию.
Схемы лечения хламидиоза у женщин:
- Вялотекущего хламидиоза. В первые две недели проводится иммунотерапия, системная энзимотерапия. Потом врач выписывает антибиотики, поливитамины, противогрибковые средства. Для восстановления и поддержки организма гинеколог назначает физпроцедуры, местное лечение, пробиотики, гепатопротекторы. Схема лечения с начала приема антибиотиков идентична схеме острого хламидиоза.
- Острого хламидиоза. Назначаются препараты: антибиотик доксициклин (3 недели по 100 мг 2 раза в день), иммуномодулятор по выбору врача, поливитамины. По истечению 7 дней проводится системная энзимотерапия. Если наличествуют грибковые инфекции, применяются препараты «Флуконазол», «Нистатин». В комплексе с лечебными средствами выписываются пробиотики, гепатопротекторы, назначаются физпроцедуры, местное лечение.
- Хронического хламидиоза. В течение двух недель проводится индуктотерапия, назначается «Амиксин» на 30 дней (через день). Проводится системная энзимотерапия (2 недели). Через 10 дней после начала лечения инфекции назначаются антибиотики (количество препарата идентично количеству при терапии острого заболевания), поливитамины. Проводится физиотерапия, используются гепатопротекторы. Лечение хронического хламидиоза у женщин может сопровождаться приемом препаратов гиалуронидазы (например, «Лонгидаза» по 1 свече раз в 10 дней).
Профилактика
Для эффективной профилактики необходимо знать и выполнять следующие правила:
- Исключить беспорядочные половые связи.
- Обязательное использование презервативов при любых видах секса.
- Помнить, что существуют другие пути заражения хламидиями кроме полового, и быть настороженной в этом отношении.
- Помнить, что даже один незащищённый половой контакт приводит к заражению хламидиями.
- Обязательное обследование после незащищённого полового контакта на наличие венерических инфекций.
- Если диагностирован хламидиоз, необходимо прекратить половые контакты, оповестить половых партнёров, ужесточить личную гигиену, принять все меры в отношении живущих рядом членов семьи для их защиты от заражения бытовым путём.
Хламидиоз, исходя из вышеперечисленного, легче предотвратить, чем лечить.
Хламидиоз — это патологический процесс в организме, возбудителем которого являются хламидии. Они способны вызывать целый спектр поражений различных органов у человека. Хламидии нельзя отнести ни к бактериям, ни к вирусам, но эти микроорганизмы обладают удивительной особенностью повреждать не только наружные половые органы, но и внутренние, нарушать слизистую дыхательных путей, поражать сосуды и сердце, зубы и суставы, а также вызывать конъюнктивит и отит.
Однако, чаще всего эти микроорганизмы локализуются в мочеполовой системе, вызывая хламидиоз у женщин, симптомы которого иногда незначительны, либо заболевание носит хронический бессимптомный характер. Характерных, особенных признаков хламидиоза у женщин нет, поскольку невозможно определить без лабораторных анализов, какой вид инфекции вызывает воспалительный процесс. Многих женщин интересует ответ на вопрос — чем лечить хламидиоз у женщин и какие существуют схемы лечения хламидиоза?
Пути заражения хламидиозом
Развитие этого заболевания в том или ином органе зависит от того, каким путем произошло заражение. Способы инфицирования хламидиями по частоте можно распределить следующим образом:
- Половой путь — главный, основной путь передачи этих микроорганизмов. При этом воспалительный процесс у женщин начинается со слизистой влагалища, затем может распространяться на маточные трубы, вызывая спаечный процесс, который грозит бесплодием, мочеиспускательный канал — вызывая цистит, а также может воспаляться канал шейки матки. Любой половой контакт без презерватива — генитальный, оральный, анальный с мужчиной, носителем хламидиоза, приводит к инфицированию женщины. От способа контакта зависит и локализация инфекционного процесса.
- Вертикальный путь — это инфицирование новорожденного ребенка от матери при рождении малыша, то есть при прохождении через инфицированные половые пути женщины при родах. У новорожденного при заражении может развиться хламидийный конъюнктивит или поражение легких. Считается, что во время беременности также имеется вероятность инфицирования плода, но это не доказано.
- Контактно-бытовой путь. Доказательств этого пути заражения хламидиозом у женщин и мужчин также нет, однако, считается, что инфицирование не исключено при использовании чужого полотенца, нижнего белья, крышки унитаза, одежды, через грязные руки, особенно, если потенциальный источник хламидиоза — человек, который обильно выделяет бактерии. Установлено, что инфекционность хламидий на хлопчатобумажных тканях и бытовых предметах охраняется до 2 дней при 18-19 С температуре воздуха.
- Воздушно-капельный способ – редкий путь заражения хламидиозом, поскольку таким образом передается Chlamidia pneumoniae от больного хламидийной пневмонией.
Хламидии у женщин: симптомы
Как проявляется хламидиоз у женщин? К сожалению, затруднения в диагностике и контроле лечения этого заболевания вызвано тем, что нередко происходит бессимптомное течение хламидиоза у женщин. Симптомы этого заболевания обнаруживаются только у 33% женщин. Однако, скрытое протекание инфекционного процесса не менее опасно, как для самой женщины, поскольку вызывает ряд осложнений и последствий, так и для ее полового партнера, повышая риск его заражения. Также при отсутствии лечения хламидиоз представляет потенциальный риск для будущего ребенка в случае беременности женщины.
Инкубационный период хламидиоза от 14 до 30 дней. Если произошло половое инфицирование, то первые симптомы могут проявиться спустя две недели после сомнительного полового контакта. При попадании хламидии в женский организм, она проходит несколько этапов:
- Первый этап — непосредственно проникновение хламидии на слизистую оболочку.
- Второй этап — внутриклеточное размножение, которое у этих микроорганизмов происходит несколько иначе, чем у прочих бактерий и вирусов, поскольку хламидии находятся внутри клеток человеческого организма в виде ретикулярных телец, при наличии благоприятных условий они начинают активное размножение, и через 2-3 дня клетка, в которой они находились, отмирает.
- Третий этап — непосредственное воспаление слизистой оболочки пораженного органа. После того как отмирает клетка, в которой находились ретикулярные тельца, свежие микроорганизмы выходят в межклеточное пространство и быстро атакуют новые клетки-мишени.
Признаки хламидиоза у женщин
Хламидийная инфекция может вызывать различные нарушения женской половой системы.
- Кольпит. После заражения хламидиозом симптомы чаще всего наблюдаются в виде хламидиозного кольпита, а также локализуется в железах, находящихся рядом с влагалищем. Особенно это проявляется у девочек, беременных женщин и женщин при менопаузе, когда в организме наблюдается дефицит эстрогона. При этом женщины испытывают неприятные ощущения во влагалище — зуд, жжение, выделения, расстройства мочеиспускания, боли внизу живота, в пояснице, небольшое повышение температуры тела. Подробнее о причинах и симптомах кольпита.
- Цервицит. При длительном периоде развития хламидиоза поражается шейка матки, вызывая — цервицит. В этом случае размножение микроорганизмов происходит в канале шейки матки, и при осмотре гинеколог видит, что шейка матки увеличена, отечна, воспалена. Если нет лечения, то при цервиците происходит слущивание эпителия шейки и возникает эрозия.
- Сальпингоофорит, эндометрит, сальпингит. При восхождении инфекции вверх по половым путям у женщины на фоне сниженного иммунитета, постоянных стрессов и прочих благоприятных условий для размножения хламидий, возможны серьезные воспалительные процессы женских половых органов, диагностика которых осуществляется гинекологом на основании осмотра, данных УЗИ.
Какие выделения при хламидиозе у женщин?
Как и любая другая инфекция, передающаяся половым путем, хламидиоз проявляется и патологическими выделениями, зудом, жжением, болями и даже температурой. Определить только по характеру выделений хламидиоз невозможно, поскольку отличительных особенностей у его протекания нет. К тому же, кроме хламидиоза у женщины могут быть и прочие инфекции передающиеся половым путем, такие как, герпес, трихомоноз, гонорея, а также молочница. Признаками хламидиоза у женщин могут быть следующие недомогания:
- Температура . При остром протекании процесса у женщины может быть субфебрильная температура тела 37-37,5С
- Боли — могут быть незначительными, отсутствовать совсем или быть достаточно интенсивными, они возникают в нижней части живота, в поясничной области.
- Мочеиспускание. Если воспалительный процесс затрагивает и мочеиспускательный канал, то возникают все симптомы цистита — частое и болезненное мочеиспускание, боли в конце и начале опорожнения мочевого пузыря, жжение и рези при мочевыделении.
- Выделения. Чаще всего выделения при хламидиозе у женщин слизисто-гнойного характера, белого или желтоватого оттенка, с острым неприятным запахом. Если выделения с запахом рыбы у женщин, это может указывать на развитие и гарднереллеза — бактериального вагиноза. Поскольку хламидии создают благоприятные условия, провоцирующие развития и других инфекций.
- Жжение . Этот симптом хламидиоза у женщин также может наблюдаться на слизистой половых органов, так как слизистая оболочка, это основное место жизнедеятельности возбудителя.
- Эрозия шейки матки . На консультации гинеколога при осмотре пациентки могут быть обнаружены незначительные кровяные выделения на слизистой шейки матки, и эрозивные образования, которые могут быть признаком хламидиоза.
Чем лечить хламидиоз у женщин
Проблему комплексного лечения хламидийной инфекции у женщин следует решать с учетом клинической картины у пациентки. Готовых алгоритмов, общих схем лечения хламидиоза у женщин нет, поскольку в каждом конкретном случае стоит учитывать состояние иммунитета, сопутствующие заболевания, состояние микрофлоры кишечника.
Вся информация о препаратах и схемах лечения предназначена только для ознакомления. Лечение хламидиоза осуществляется только квалифицированным специалистом на основании результатов анализов, анамнеза пациентки, в динамике с учетом критериев излеченности.
Антибиотики
При любой бактериальной инфекции, в том числе и при хламидиозе, применяются антибиотики. Так как возбудитель заболевания паразитирует внутриклеточно, соответственно и выбор антибиотиков при хламидиозе ограничивается только теми антимикробными средствами, которые уничтожают инфекцию внутри клеток:
- Тетрациклины: Доксициклин — Юнидокс солютаб, Дорикс, Вибрамицин, Вибра-Табс.
- Макролиды : Азитромицин (Сумамед, Зитромакс, Хемомицин), Джозамицин (Вильпрафен) и Кларитромицин (Кларбакт, Фромилид Уно)
- Фторхинолоны: Офлоксацин (Флоксин, Заноцин, Таривид, Офлоксин), Левофлоксацин (Таваник, Глево, Левостар, Флексид), Ципрофлоксацин (Цифран, ципробай, ципринол, Ципро-бид), Спирамицин (Ровамицин), Норфлоксацин (Нолицин, норбактин), Ломефлоксацин (Ломфлокс), Спарфлоксацин (Спарфло).
Обязательно учитывается наличие прочих инфекций — ИППП, чтобы выбор антибиотика был максимально эффективен и при смешанной инфекции.
- Азитромицин 500 мг 2 табл. однократно, или
- Доксициклин 0,1 дважды в сутки 7 дней.
- Эритромицин 500 мг 4 раза в сутки черехз 6 часов 7 суток
- Офлоксацин 300 мг дважды в сутки через 12 часов на 7 дней
- Рокситромицин 150 мг дважды в сутки через 12 часов 7 дней
- Спирамицин 3 млн Ед каждые 8 часов 7 дней
- Эритромицин 500 мг через 6 часов 4 раза в сутки 7 дней
- Джозамицин 750 мг 3 раза в сутки через 8 часов 7 дней
- Спирамицин 3 млн Ед через 8 часов 3 раза в сутки 7 дней.
Терапии подвергаются оба партнера. При этом тетрациклины могут использоваться для лечения острых неосложненных уретритов илил цервицитов, у ранее не лечившихся пациентов. Устойчивые к одному из тетрациклинов штаммы хламидий проявляют устойчивость и к другим препаратам этой группы, то есть менять препараты один на другой при неэффективности в пределах одной группы смысла нет.
В практике предпочтение отдается 15-членным макролидам (Азитромицину) и 16-членным макролидам (Джозамицину), резистентные формы, хронический хламидиоз лечат фторхинолонами. Но это будет терапия второго ряда, так как фторхинолоны сразу нежелательно назначать, помня, что скоро туберкулез лечить будет нечем. А фторхинолоны — это резервные препараты. У беременных разрешенным препаратом на сегодня является Джозамицин (Вильпрафен), который предпочитают европейские стандарты.
Критерием излеченности будет отрицательная ПЦР соскобов урогенитального тракта через 1,5-2 месяца после окончания терапии.
Схемы лечения хламидиоза у женщин
На сегодняшний день лечение хламидиоза является сложнейшей проблемой, лечащий врач должен обладать высокой квалификации, и владеть знаниями во многих смежных областях медицины, поскольку нередко бывают ситуации, когда назначение даже очень эффективных, современных высокоактивных антибиотиков при хламидиозе является ошибочным, неэффективным, усугубляющим течение инфекционного процесса.
Очень важное значение в оценке состояния пациентки имеет выбор метода диагностики, уровень подготовки исследователя лабораторного материала, качество тест-систем для диагностики. Очень часто допущенные ошибки в диагностике и лечении происходят по следующим причинам:
- Применение некачественных тест-систем, низкая профессиональная подготовка лаборанта, несоблюдение условий доставки и правил взятия материала на анализ при диагностике.
- Неправильный выбор эффективной схемы лечения хламидиоза и тактики терапии, в результате лечение оказывается безуспешным.
- Несвоевременное определение стадии излеченности пациентки.
- Неграмотная интерпретация результатов анализов. Если после комплексного, этапного лечения урогенитальной хламидийной инфекции с применением антибиотиков, в контрольных анализах снова обнаруживаются возбудители, прием повторного курса антимикробных препаратов нецелесообразен. В таких ситуациях следует грамотно интерпретировать результаты лабораторных исследований. Возможно, обнаружение ошибки в определении критериев излеченности, поскольку после лечения, взятие материала на анализ в каждом методе лабораторной диагностики по срокам различаются.
Схемы лечения хламидиоза у женщин, препараты для терапии — зависят от клинических симптомов заболевания, остроты процесса, длительности болезни, возраста пациентки и сопутствующих заболеваний.
При эктопией шейки матки у женщин, любое лечение следует начинать только после результатов кольпоскопии шейки матки, а также цитологического исследования мазков, которые исключат или подтвердят предраковые состояния. В случае отрицательного результата, местное лечение можно дополнить ферментами, средствами усиливающими пролиферацию, а также препаратов, вызывающих деструкцию тканей.
Лечение хламидиоза у беременных женщин также должно быть этапным, комплексным, с учетом всех физиологических противопоказаний. Среди антибиотиков при хламидиозе в базисной терапии можно применять следующие препараты: Ровамицин 3 млн. 3 р/день и Эритромицин 500 мг 4 р/день в течение 2 недель. Назначение доксициклина, фторхинолонов категорически противопоказано кормящим и беременным женщинам.
Хламидиоз у женщин — последствия инфекции
Все воспалительные процессы, возникающие при восхождении хламидийной инфекции к матке, фаллопиевым трубам, яичникам могут вызывать эндометрит, сальпингит, сальпингоофорит. Последствия хламидиоза могут выражаться в невозможности зачатия, бесплодии и повышают риск развития злокачественных образований в будущем. В зависимости от локализации воспалительного процесса при размножении хламидий, возможны следующие последствия:
- Придатки матки (сальпингоофорит) и маточные трубы (сальпингит) — очень опасно для женщин, желающих забеременеть и родить здорового ребенка, поскольку хламидиоз отличается тем, что после воспаления образуются спайки и рубцы именно в маточных трубах. А это может являться причиной бесплодия (см. непроходимость маточных труб), внематочной беременности (симптомы).
- Шейки матки (эндоцервицит) — при этой локализации хламидиоз значительно повышает риск развития злокачественных процессов в шейке матки (см. признаки рака шейки матки).
- Слизистой оболочки матки (эндометрит) — также затрудняет возникновение беременности и может повышать риск самопроизвольного прерывания беременности.
- Синдром Рейтера — хламидийный уретрит, конъюнктивит, артрит.
Многочисленные болезнетворные микроорганизмы, проникая в тело человека, провоцируют формирование опасных болезней. Среди патологий, передающихся при половых контактах, одно из первых мест занимает хламидиоз, возбудитель которого Chlamydia trachomatis. По строению хламидии ближе к бактериям, однако, обитают они в живых клетках, за счет чего отнести их можно и к вирусам.
Заболевание относится к венерическим болезням и может протекать бессимптомно либо остро, с течением времени распространяясь во все отделы половой сферы. У женщин хламидии помимо поражения слизистых слоев мочеполовой системы способны негативно воздействовать на органы зрения, затрагивать ротовую полость, если во время секса имел место оральный контакт. Поговорим о том, что такое хламидиозы, каким образом они проявляются, попадая в организм, рассмотрим методы лечения заболевания.
Причины развития патологии и ее классификация
Существует несколько факторов, под воздействием которых развивается заболевание. Причины возникновения хламидиоза у женщин:
- Постоянная смена половых партнеров – именно беспорядочный секс является главной опасностью. Доказано, что примерно в 70% всех случаев хламидийные инфекции поражают молодых людей, предпочитающих излишне бурную сексуальную жизнь. Первая стадия – это инфицирование слизистого влагалищного слоя, затем заражение переходит на фаллопиевы трубы, провоцируя у женщины развитие спаечного процесса. Воспаление затрагивает и мочеиспускательный канал, результатом чего становится цистит, который переходит на канал маточной шейки. Вне зависимости от способа контакта – генитального, анального либо орального – при отсутствии барьерной защиты переход хламидийной инфекции от зараженного партнера неизбежен.
- Следующей причиной передачи инфекций становится прохождение ребенка через родовые пути больной матери, этот способ называется вертикальным. У младенца после заражения возможно формирование хламидийного конъюнктивита, могут быть поражены легочные ткани. По пока недоказанным предположениям существует и вероятность заражения плода хламидиями в процессе его вынашивания.
- Причинами болезни предположительно могут стать бытовые предметы, хотя и этот способ инфицирования хламидиозом не доказан. Предположительно при использовании чужих полотенец, белья, одежды, крышки унитаза, на которые попали болезнетворные микроорганизмы, заразиться вполне возможно. При этом доказано, что эти простейшие, попав на ткани либо предметы, способны выживать в течение 48 часов, если температура окружающей среды составляет 18 С.
- Крайне редко к причинам хламидиоза у женщин относят носителя, находящегося в непосредственной близости от нее и передающего инфекцию воздушно-капельным способом. Обычно таким образом передается Chlamidia pneumoniae, вызывающая формирование специфической пневмонии.
Что касается классификации, формы заболеваний зависят от локализации патологического процесса, вида его течения. Если рассматривать местоположение очага инфекции у женщин, она может быть урогенитальной, респираторной, генерализованной. Выделяют также офтальмо-хламидиоз, паховый лимфогранулематоз и прочие виды.
Хламидийная инфекция у женщин отличается неспецифичностью штаммов – одна разновидность микроорганизмов способна спровоцировать любую из болезнетворных форм. В результате вылечить хламидиоз достаточно сложно, поскольку налицо разнообразие нехарактерных проявлений.

Острая и хроническая форма
По течению болезнь может быть свежей либо хронической. Симптомы первичной – свежей – формы появляются в среднем спустя 7-14 суток, на этот показатель влияние оказывает состояние иммунитета. Дело также в хламидиях, проникших в организм – их количество также имеет значение. Лечить заболевание на этой стадии существенно легче, но сложность заключена в том, что патологические проявления остаются стертыми либо скрытыми. В результате заражение хламидией долгое время остается не выявленным и по прошествии определенного периода его выявляют уже в хроническом течении.
Хронический хламидиоз характеризуется почти полным отсутствием явной симптоматики. Его более открытое проявление становится возможным при иммуносупрессии либо при осложненном течении. Воспаление, протекающее в разных органах, провоцирует развитие у женщин симптомов хламидиоза различной интенсивности.
Важно! Хронический хламидиоз достаточно часто рецидивирует, поскольку внутриклеточное строение простейших с трудом поддается лечению, на фоне чего болезнь развивается повторно.




