Гравидарный эндометрий, или «беременный» эндометрий, — это состояние слизистой оболочки матки, возникающее из-за гормональных изменений в организме женщины во время беременности. Понимание причин его появления и последствий важно для репродуктивного здоровья. В статье рассмотрим, почему возникает гравидарный эндометрий, факторы его формирования и необходимость лечения, чтобы помочь читателям лучше ориентироваться в вопросах здоровья и планирования семьи.
Определение
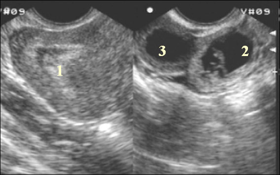
Что это означает? Гравидарный эндометрий можно выявить во время ультразвукового исследования. Он отличается по эхогенности от неизмененного, что позволяет хорошо его визуализировать в процессе процедуры. Его можно обнаружить как при трансабдоминальном, так и при трансвагинальном УЗИ. В заключении врача и в описании результатов УЗИ данное состояние может быть также обозначено как гравидарная реакция эндометрия.
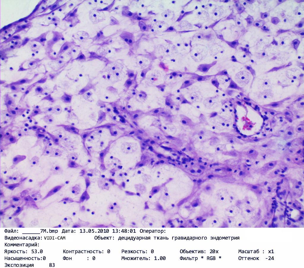
Изменения, происходящие в этом процессе, всегда являются тотальными, то есть такой эндометрий формируется не в отдельных участках, а по всей поверхности матки. Обычно его наличие сопровождается определенными изменениями в яичниках.
Гравидарный эндометрий формируется в ответ на гормональные изменения, происходящие в организме женщины во время беременности. Эксперты отмечают, что основным фактором, способствующим его развитию, является увеличение уровня прогестерона, который вырабатывается желтым телом яичника. Этот гормон способствует подготовке слизистой оболочки матки к имплантации эмбриона, обеспечивая оптимальные условия для его роста и развития.
Кроме того, в процессе беременности происходит активная работа плаценты, которая также выделяет гормоны, поддерживающие состояние эндометрия. Специалисты подчеркивают, что здоровый гравидарный эндометрий играет ключевую роль в успешной имплантации и поддержании беременности, обеспечивая эмбрион необходимыми питательными веществами и кислородом. Таким образом, правильное функционирование гормональной системы является критически важным для формирования гравидарного эндометрия.

Причины
Причина такого состояния, как и любого другого изменения структуры эндометрия, это гормональные перестройки и изменения в организме. Гравидарный эндометрий появляется при изменении гормонального уровня, характерном для беременности. То есть, такое состояние может появиться исключительно при наступлении беременности, в результате взаимного воздействия прогестерона и эстрогена и изменений в их содержании.
При этом, на начальных этапах сама беременность по ультразвуковому исследованию может никак не диагностироваться. Слизистый слой подвергается изменениям уже с первого дня зачатия. Потому, при задержке в 1 день его изменения уже заметны на УЗИ, хотя самоплодное яйцо еще не видно – оно визуализируется значительно позже. В этом случае врачи, обычно, рекомендуют пациенткам сдать анализ венозной крови на содержание в организме гормона ХГЧ. Этот гормон начинает вырабатываться сразу при наступлении беременности и его уровень помогает диагностировать это состояние с высокой точностью.
Иногда возникают ситуации, когда диагностируется эндометрий гравидарного типа, при этом плодное яйцо не визуализируется, а уровень гормона ХГЧ нормальный (для отсутствия беременности) или пограничный. В этом случае врачи, обычно, говорят о том, что вероятно оплодотворение произошло, в результате чего изменения слизистой начались. Но плодное яйцо не закрепилось изначально или закрепилось, но тут же было отторгнуто, то есть произошел выкидыш на очень ранних сроках, незамеченный пациенткой.
В некоторых случаях возможно появление такого эндометрия в результате сильного гормонального сбоя, вплоть до ложной беременности. В этом случае требуется гормональное лечение. Но происходит такое крайне редко.
| Фактор | Влияние на развитие гравидарного эндометрия | Механизм действия |
|---|---|---|
| Имплантация эмбриона | Необходимое условие | Выделение эмбрионом гормонов (hCG), стимулирующих трансформацию эндометрия |
| ХГЧ (хорионический гонадотропин человека) | Стимулирует рост и трансформацию эндометрия | Связывается с рецепторами на клетках эндометрия, активируя внутриклеточные сигнальные пути |
| Прогестерон | Поддерживает децидуализацию и васкуляризацию эндометрия | Регулирует экспрессию генов, необходимых для трансформации эндометрия |
| Эстрогены | Способствуют пролиферации и дифференцировке клеток эндометрия | Взаимодействуют с прогестероном, обеспечивая оптимальные условия для имплантации и развития плаценты |
| Цитокины и факторы роста | Регулируют клеточную пролиферацию, дифференцировку и ангиогенез | Обеспечивают межклеточную коммуникацию и координацию процессов в эндометрии |
| Иммунная система матери | Модулирует воспалительные реакции и предотвращает отторжение эмбриона | Создает иммунологическую толерантность к эмбриону |
Интересные факты
Гравидарный эндометрий — это изменённая структура слизистой оболочки матки, которая формируется в ответ на беременность. Вот несколько интересных фактов о его появлении:
-
Гормональные изменения: Основной причиной формирования гравидарного эндометрия являются гормональные изменения, происходящие в организме женщины после оплодотворения. Уровень прогестерона значительно возрастает, что способствует утолщению и подготовке эндометрия для имплантации эмбриона.
-
Имплантация эмбриона: Гравидарный эндометрий обеспечивает оптимальные условия для имплантации эмбриона. Он становится более васкуляризованным и секреторным, что позволяет обеспечить эмбрион необходимыми питательными веществами и кислородом, а также способствует его дальнейшему развитию.
-
Иммунная толерантность: В процессе формирования гравидарного эндометрия происходит также изменение иммунного ответа. Организм женщины адаптируется к присутствию эмбриона, который является генетически чуждым, что предотвращает его отторжение. Это достигается благодаря выработке специальных молекул, которые подавляют иммунный ответ против эмбриона.
Эти факты подчеркивают важность гравидарного эндометрия для успешного протекания беременности и его роль в поддержании жизни эмбриона на ранних стадиях развития.

Диагностика
Как уже упоминалось ранее, данное состояние выявляется с помощью ультразвукового исследования. Оба метода — трансвагинальное и трансабдоминальное — являются эффективными, однако информативность второго немного ниже. Поэтому, если требуется точно оценить изменения в слизистой оболочке, предпочтительнее использовать трансабдоминальный подход. Даже при задержке всего в один день изменения могут быть заметны и четко различимы. На 5-8 день задержки обычно уже можно определить, есть ли плодное яйцо, то есть выяснить, продолжается ли беременность или произошел выкидыш на ранних сроках.
Для более точного определения беременности также используется анализ венозной крови на уровень ХГЧ.
Опасность
Гравидарный эндометрий при беременности является необходимым и естественным явлением, а потому опасности не представляет. Если он появился, но произошел выкидыш, то такое состояние также не представляет существенной опасности, так как в большинстве случаев уровень гормонов нормализуется со временем самостоятельно. Однако рекомендуются контрольные УЗИ для оценки скорости нормализации состояния.
Опасность представляет ситуация, когда такая слизистая появилась вне беременности. Это говорит о значительном гормональном сбое в организме, который может стать причиной проблем с зачатием и даже бесплодия. А, кроме того, на такой эндометрий плодное яйцо в принципе закрепляется плохо. Потому состояние необходимо лечить.
Надо ли лечить?
Как уже упоминалось, гравидарная слизистая во время беременности считается нормальным состоянием и не требует лечения. После выкидыша или аборта рекомендуется провести контрольное УЗИ через месяц, чтобы убедиться, что слизистая восстановилась. В случае гормонального дисбаланса лечение может включать использование различных гормонов:
- Комбинированные оральные контрацептивы на основе эстрогена и прогестерона;
- Агонисты гонадотропин-рилизинг гормона;
- Прогестерон или эстроген отдельно.
Оптимальный препарат подбирает врач, основываясь на текущем гормональном фоне и возрасте пациентки.

Профилактика
Гравидарный эндометрий включает в себя комплекс мероприятий, направленных на снижение риска его возникновения и поддержание здоровья репродуктивной системы женщины. Гравидарный эндометрий — это состояние, при котором слизистая оболочка матки изменяется под воздействием гормонов, вырабатываемых во время беременности. Однако, даже если женщина не планирует беременность, важно следить за состоянием эндометрия, чтобы избежать возможных осложнений.
Одним из ключевых аспектов является регулярное медицинское обследование. Женщинам рекомендуется проходить гинекологические осмотры не реже одного раза в год. Это позволит своевременно выявить любые изменения в состоянии эндометрия и других органов репродуктивной системы.
Также важным фактором является контроль за гормональным фоном. Изменения в уровне гормонов могут привести к аномальным изменениям в эндометрии. Для этого необходимо следить за менструальным циклом и при наличии каких-либо отклонений (например, нерегулярные менструации, сильные боли или обильные выделения) обращаться к врачу. В некоторых случаях может потребоваться гормональная терапия для нормализации уровня гормонов.
Здоровый образ жизни также играет значительную роль. Правильное питание, регулярные физические нагрузки, отказ от курения и ограничение потребления алкоголя способствуют поддержанию гормонального баланса и общего здоровья. Важно также избегать стрессов, так как они могут негативно влиять на репродуктивную систему.
Кроме того, следует обратить внимание на использование контрацептивов. Правильно подобранные средства контрацепции могут помочь в регулировании менструального цикла и предотвращении нежелательной беременности, что, в свою очередь, снижает риск развития гравидарного эндометрия. Однако выбор контрацептивов должен осуществляться совместно с врачом, чтобы учесть индивидуальные особенности организма.
Наконец, важно помнить о значении образования и информированности. Женщинам следует быть осведомленными о своем здоровье, о возможных симптомах и признаках, которые могут указывать на проблемы с эндометрием. Обсуждение вопросов репродуктивного здоровья с врачом и получение необходимой информации помогут предотвратить развитие гравидарного эндометрия и других заболеваний.
Вопрос-ответ
Что такое гравидарный эндометрий?
Гравидарный эндометрий — это изменённый слой слизистой оболочки матки, который формируется в ответ на беременность. Он становится более толстым и богатым кровеносными сосудами, что необходимо для поддержки развивающегося эмбриона и обеспечения его питательными веществами.
Какие гормоны влияют на развитие гравидарного эндометрия?
Основными гормонами, влияющими на развитие гравидарного эндометрия, являются прогестерон и эстроген. Прогестерон, вырабатываемый желтым телом яичников после овуляции, способствует утолщению и подготовке эндометрия к имплантации эмбриона, а эстроген помогает поддерживать его здоровье и функциональность.
Каковы признаки гравидарного эндометрия?
Признаки гравидарного эндометрия могут включать утолщение слизистой оболочки матки, увеличение кровоснабжения и изменение структуры клеток. Эти изменения могут быть выявлены с помощью ультразвукового исследования, которое показывает характерные признаки беременности, такие как наличие желточного мешка или эмбриона в полости матки.
Советы
СОВЕТ №1
Обратите внимание на регулярность менструального цикла. Нерегулярные циклы могут указывать на гормональные нарушения, которые способствуют развитию гравидарного эндометрия. Ведение календаря менструаций поможет вам отслеживать изменения и вовремя обратиться к врачу.
СОВЕТ №2
Следите за своим питанием и образом жизни. Здоровая диета, богатая витаминами и минералами, а также регулярные физические нагрузки могут помочь поддерживать гормональный баланс и снизить риск развития гравидарного эндометрия.
СОВЕТ №3
Регулярно проходите медицинские осмотры и гинекологические обследования. Это поможет выявить возможные проблемы на ранних стадиях и предотвратить развитие серьезных заболеваний, связанных с эндометрием.
СОВЕТ №4
Обсуждайте свои симптомы и беспокойства с врачом. Если вы замечаете изменения в менструальном цикле, боли или другие необычные симптомы, не стесняйтесь задавать вопросы и получать профессиональные рекомендации.


