Кальцинат в матке — это образование, возникающее из-за воспалительных процессов и других патологий. Его наличие вызывает у женщин множество вопросов и опасений. В статье рассмотрим основные причины появления кальцинатов, их симптомы и методы лечения. Понимание этих аспектов поможет женщинам вовремя обратиться к врачу и сохранить репродуктивное здоровье.
Что за явление?
Это не болезнь, а результат патологического процесса, происходящего в основном в матке, которая является детородным органом. Данное явление представляет собой накопление солей кальция в определенной области матки. Следует отметить, что кальцинаты могут образовываться не только в этом органе, но и в других, таких как печень. Таким образом, кальцинат – это не только гинекологическая проблема, а патологический процесс, возникающий из-за нарушения нормальной работы конкретного органа.
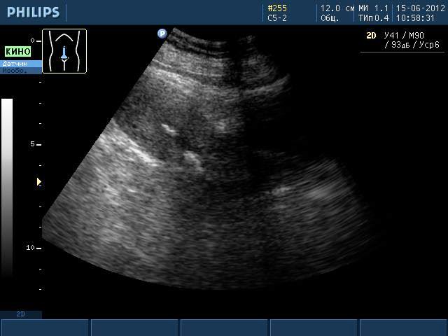
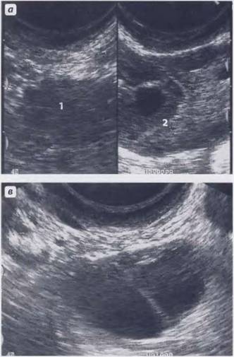
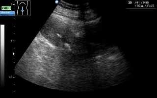
Эти образования хорошо визуализируются при проведении ультразвукового исследования или магнитно-резонансной томографии. Однако во время УЗИ невозможно увидеть ткани, из которых состоит образование, поэтому можно лишь предполагать наличие кальцината. Такая ситуация требует дополнительного обследования женщины, чтобы исключить более серьезные заболевания, чем просто наличие отложений солей кальция.
Эксперты в области гинекологии отмечают, что кальцинаты в матке могут возникать по различным причинам, включая воспалительные процессы, миомы и даже предшествующие травмы. Симптоматика часто бывает неявной, однако некоторые женщины могут испытывать боли внизу живота или нарушения менструального цикла. Важно отметить, что кальцинаты могут быть обнаружены случайно при ультразвуковом исследовании. Лечение зависит от причины их появления: в некоторых случаях достаточно наблюдения, в других может потребоваться медикаментозная терапия или хирургическое вмешательство. Специалисты подчеркивают важность регулярных обследований для раннего выявления и предотвращения возможных осложнений.

Причины образования
Соли этого микроэлемента находятся в нашем организме, и это нормально. Кальций участвует в обменном процессе внутри клеток, насыщает определенные ткани и так далее. Если его не хватает в женском организме, возникают такие явления, как выпадение волос, ломкость костей, разрушение зубов, нарушение функционирования организма. Наличие в организме чрезмерного количества этого микроэлемента также приводит к патологиям, например, задержка мочи, отложение в разных органах.
Что такое кальцинаты в матке, и в чем их причина? Ответ прост: отложения кальция в матке возникают по причине перенесенного воспалительного заболевания этого органа. Таким образом, организм защищается, перерождая хронически пораженные ткани в кальциевые отложения, препятствуя распространению патологического процесса дальше.
| Причина образования кальцинатов в матке | Симптомы | Лечение |
|---|---|---|
| Предыдущие аборты или выкидыши | Часто бессимптомно; может сопровождаться нерегулярными менструациями, болями внизу живота, бесплодием | Наблюдение, хирургическое удаление (в случае симптоматики или планирования беременности), медикаментозная терапия (в зависимости от причины образования кальцинатов) |
| Эндометрит (воспаление эндометрия) | Боль внизу живота, нерегулярные менструации, лихорадка, гнойные выделения | Антибиотики, противовоспалительные препараты, хирургическое вмешательство (в тяжелых случаях) |
| Миома матки (фибромиома) | Кровотечения, боли внизу живота, давление на соседние органы | Наблюдение, гормональная терапия, миомэктомия (удаление миомы), гистерэктомия (удаление матки) |
| Туберкулез гениталий | Боли внизу живота, нерегулярные менструации, лихорадка, слабость | Противотуберкулезная терапия |
| Послеродовые осложнения | Боль внизу живота, лихорадка, гнойные выделения | Антибиотики, хирургическое вмешательство |
| Возрастные изменения | Часто бессимптомно | Наблюдение |
Интересные факты
Вот несколько интересных фактов о кальцинатах в матке:
-
Причины образования кальцинатов: Кальцинаты в матке могут образовываться в результате различных процессов, таких как хроническое воспаление, инфекции, а также после травм или хирургических вмешательств. Они представляют собой отложения кальция в тканях, что может быть следствием старения или реакции организма на повреждение.
-
Симптоматика: В большинстве случаев кальцинаты не вызывают явных симптомов и могут быть случайной находкой при ультразвуковом исследовании. Однако в некоторых случаях они могут быть связаны с болями внизу живота или менструальными нарушениями, что требует дополнительного обследования.
-
Лечение и наблюдение: Лечение кальцинатов в матке зависит от их причины и наличия симптомов. В большинстве случаев, если кальцинаты не вызывают дискомфорта и не связаны с серьезными заболеваниями, достаточно регулярного наблюдения. Однако при наличии симптомов или подозрении на патологию может потребоваться более активное вмешательство, включая медикаментозное лечение или хирургическое удаление.

Диагностика
Одним из наиболее распространенных методов диагностики является ультразвуковое исследование репродуктивных органов. Гинекологи часто рекомендуют трансабдоминальное УЗИ, которое позволяет выявлять патологии органов с помощью датчиков, перемещаемых по животу пациентки.
При необходимости врач может предложить и другие методы диагностики:
- трансвагинальное УЗИ, которое обеспечивает более детальное исследование органа, особенно в период беременности;
- гистерография – обследование органов малого таза с использованием контрастного вещества, может быть выполнено как рентгенологическим, так и ультразвуковым способом;
- доплерография;
- трехмерное УЗИ – современный метод диагностики заболеваний матки, который позволяет визуализировать кальцинаты в трехмерном формате;
- анализ крови для определения общего уровня кальция.
На сегодняшний день трехмерное УЗИ считается самым точным методом диагностики заболеваний матки, однако его стоимость значительно выше по сравнению с другими методами.
Опасность
Опасно ли наличие кальциевых отложений? – вопрос, интересующий всех женщин, у которых они обнаружены. Особенно волнует он женщин, желающих в скором времени забеременеть.
Мы уже поняли, что возникновение таких отложений самостоятельным заболеванием не являются, но свидетельствуют о наличии или результате воспалительного процесса в матке. Для определения состояния женского организма в результате возникновения кальцинатов, необходимо дополнительное обследование. Определить нужно первопричину возникновения таких образований.
Уже после дополнительной диагностики станет понятно, является ли это угрозой для репродуктивного здоровья женщины. Часто на обычном УЗИ кальцинаты в детородном органе путают с полипами. Полипы угрожают женщине постоянными кровотечениями и патологиями беременности.
Матка у будущей мамы должна естественно растягиваться. Но с кальциевыми образованиями она лишена такой возможности, изменения размера этого органа будут сопровождаться болевыми ощущениями. Но также существуют данные о нормальном течении беременности с наличием подобных образований. Каждый случай индивидуален, и должен быть под наблюдением врача.

Лечение
Для терапии данной патологии применяются все необходимые методы диагностики, поскольку кальциевые образования являются следствием, а не причиной. После выявления первопричины гинекологи занимаются лечением основного заболевания или его последствий.
Какие подходы используются в лечении этой патологии?
- Хирургическое вмешательство. Оно осуществляется крайне редко, так как эти отложения не оправдывают операционного вмешательства в ткани репродуктивного органа. Также следует учитывать риск кровотечения после операции на матке. Хирургия показана только в тех случаях, когда другие методы не дают результата.
- Выскабливание. Эта процедура может быть эффективной при данной патологии, однако после нее кальцинаты могут вновь появляться.
- Сбалансированное питание и своевременное лечение воспалительных процессов в репродуктивной системе можно рассматривать как профилактические меры, так как они направлены на предотвращение образования кальциевых отложений, а не на их удаление.
- Препараты для рассасывания таких образований не используются. Врач может назначить водяной перец и несколько инъекций окситоцина, чтобы способствовать отделению кальцината от стенки матки, позволяя ей вытолкнуть его своими сокращениями. Однако любое лечение должно проводиться под контролем специалиста.
Вывод
Кальциевые образования в матке приводят в замешательство женщин, причиняя определенны трудности в функционировании органа. Любые мероприятия по диагностике образований и их удалению или лечению согласовываются с врачом. Нельзя заниматься самолечением, так как кальцинаты на обычном УЗИ можно перепутать с полипами.
Профилактика
Кальцинаты в матке включают в себя несколько важных аспектов, которые помогут снизить риск их образования и поддерживать общее здоровье репродуктивной системы женщины.
Регулярные медицинские осмотры. Один из ключевых моментов профилактики – это регулярные визиты к гинекологу. Профилактические осмотры позволяют выявить возможные патологии на ранних стадиях, что значительно увеличивает шансы на успешное лечение и предотвращение осложнений.
Здоровый образ жизни. Ведение здорового образа жизни играет важную роль в профилактике различных заболеваний, включая образование кальцинатов. Это включает в себя:
- Сбалансированное питание, богатое витаминами и минералами, особенно кальцием и витамином D.
- Регулярные физические нагрузки, которые способствуют улучшению кровообращения и обмена веществ.
- Отказ от вредных привычек, таких как курение и злоупотребление алкоголем, которые могут негативно сказаться на здоровье репродуктивной системы.
Контроль за гормональным фоном. Гормональные нарушения могут способствовать образованию кальцинатов. Поэтому важно следить за уровнем гормонов и при необходимости проходить гормональную терапию под наблюдением врача. Это особенно актуально для женщин в период менопаузы, когда уровень эстрогенов снижается.
Лечение хронических заболеваний. Хронические заболевания, такие как диабет, гипертония и заболевания щитовидной железы, могут способствовать образованию кальцинатов. Поэтому важно контролировать эти состояния и следовать рекомендациям врача для их лечения.
Избегание стресса. Психоэмоциональное состояние женщины также влияет на здоровье. Хронический стресс может привести к гормональным сбоям и другим проблемам, поэтому важно находить способы для расслабления и снятия напряжения, такие как занятия йогой, медитация или хобби.
Образование и осведомленность. Знание о возможных рисках и симптомах, связанных с образованием кальцинатов, поможет женщинам своевременно обращаться за медицинской помощью. Образовательные программы и семинары могут повысить осведомленность о здоровье репродуктивной системы.
Следуя этим рекомендациям, женщины могут значительно снизить риск образования кальцинатов в матке и поддерживать свое здоровье на высоком уровне.
Вопрос-ответ
Что такое кальцинат в матке и как он образуется?
Кальцинат в матке — это образование, состоящее из отложений кальция в тканях матки. Он может возникать в результате хронического воспаления, травм, а также как следствие различных заболеваний, таких как миома или эндометриоз. Кальцинаты могут быть обнаружены при ультразвуковом исследовании и часто не вызывают симптомов.
Какие симптомы могут указывать на наличие кальцинатов в матке?
В большинстве случаев кальцинаты не проявляют себя и не вызывают никаких симптомов. Однако в некоторых случаях женщины могут испытывать боли внизу живота, нарушения менструального цикла или дискомфорт во время полового акта. Если симптомы становятся выраженными, важно обратиться к врачу для дальнейшего обследования.
Как проводится лечение кальцинатов в матке?
Лечение кальцинатов зависит от их размера, количества и наличия симптомов. В большинстве случаев, если кальцинаты не вызывают дискомфорта, лечение не требуется. Однако при наличии симптомов или если кальцинаты связаны с другими заболеваниями, может потребоваться медикаментозная терапия или хирургическое вмешательство для удаления образований.
Советы
СОВЕТ №1
Регулярно проходите гинекологические осмотры. Это поможет выявить кальцинаты на ранних стадиях и предотвратить возможные осложнения. Не забывайте сообщать врачу о любых изменениях в вашем здоровье.
СОВЕТ №2
Обратите внимание на свое питание. Употребление продуктов, богатых кальцием и витаминами, может помочь поддерживать здоровье матки. Включите в рацион молочные продукты, зелень и орехи.
СОВЕТ №3
Не игнорируйте симптомы, такие как боли внизу живота или изменения в менструальном цикле. Если вы заметили что-то необычное, обратитесь к врачу для диагностики и возможного лечения.
СОВЕТ №4
Изучите методы альтернативной медицины, такие как фитотерапия или акупунктура, которые могут помочь в поддержании здоровья репродуктивной системы. Однако всегда консультируйтесь с врачом перед началом любого нового лечения.


