Гиперэхогенный эндометрий — состояние, выявляемое при ультразвуковом исследовании, указывающее на изменения в слизистой оболочке матки. Эта находка может быть связана с гормональными изменениями, воспалительными процессами или патологическими состояниями. В статье рассмотрим причины диагностики гиперэхогенного эндометрия, методы его диагностики и подходы к лечению. Эти аспекты помогут женщинам лучше ориентироваться в своем здоровье и своевременно обращаться за медицинской помощью.
Определение
Принцип ультразвуковой диагностики основывается на следующем: исследуемая область обрабатывается с помощью ультразвуковых волн. Разные органы и их участки обладают различной акустической проницаемостью для ультразвука. На основе этих различий формируется изображение, которое позволяет оценить состояние внутренних органов. Эхогенностью называют уровень проницаемости тканей для ультразвука. Ткани, обладающие высокой плотностью и низкой проницаемостью, называются гиперэхогенными. На итоговом изображении они выглядят как более светлые участки.
В зависимости от фазы менструального цикла эндометрий может проявлять различную эхогенность.
Гиперэхогенный эндометрий часто диагностируется при ультразвуковом исследовании и может свидетельствовать о различных состояниях. Эксперты отмечают, что такое изменение эхогенности может быть связано с гормональными нарушениями, воспалительными процессами или даже с наличием опухолей. Например, повышенная эхогенность может указывать на гиперплазию эндометрия, что требует дальнейшего обследования для исключения злокачественных процессов. Также важно учитывать фазу менструального цикла, так как в разные периоды эндометрий может иметь различные характеристики. Врачам рекомендуется проводить комплексную оценку состояния пациентки, включая анамнез и дополнительные исследования, чтобы правильно интерпретировать результаты УЗИ и назначить соответствующее лечение.

Причины
Множество причин влияет на это состояние. Слизистая оболочка матки может включать в себя новообразования, полипы, миомы, которые будут визуализироваться на ультразвуковом исследовании более светлыми. Также эхогенность слоя в целом повышается во второй фазе цикла, так как слизистая меняет свою толщину (ввиду изменений в ходе менструального цикла). Какие же еще причины способны вызывать на ультразвуковом исследовании явление гиперэхогенности?
| Причина гиперэхогенного эндометрия | Описание | Дополнительные факторы/симптомы |
|---|---|---|
| Физиологическая гиперэхогенность (в норме) | Утолщение эндометрия в определенные фазы менструального цикла (например, секреторная фаза) или в период подготовки к имплантации. | Отсутствие других симптомов, нормальные результаты других анализов. |
| Полипы эндометрия | Доброкачественные разрастания ткани эндометрия. | Маточные кровотечения, боли внизу живота, бесплодие. |
| Миома матки (субмукозная) | Доброкачественные опухоли мышечного слоя матки, деформирующие полость матки. | Маточные кровотечения, боли внизу живота, бесплодие, давление на соседние органы. |
| Эндометриоз | Разрастание ткани эндометрия за пределами полости матки. | Болезненные менструации (дисменорея), боли во время полового акта (диспареуния), бесплодие. |
| Гиперплазия эндометрия | Утолщение эндометрия из-за дисбаланса гормонов. | Аномальные маточные кровотечения, бесплодие. |
| Воспалительные заболевания органов малого таза (ВЗОМТ) | Инфекции, затрагивающие органы репродуктивной системы. | Боль внизу живота, выделения из влагалища, лихорадка. |
| Рак эндометрия | Злокачественное новообразование эндометрия. | Аномальные маточные кровотечения (часто у женщин в постменопаузе), боль внизу живота, похудение. |
| Послеродовой период | Нормальное состояние в первые недели после родов. | Кровотечения после родов. |
| Прием гормональных препаратов | Воздействие некоторых гормональных препаратов. | Зависит от принимаемого препарата. |
Интересные факты
Гиперэхогенный эндометрий — это состояние, при котором эндометрий (внутренний слой матки) имеет повышенную эхогенность на ультразвуковом исследовании. Вот несколько интересных фактов, связанных с этой темой:
-
Сигнал о патологиях: Гиперэхогенный эндометрий может указывать на различные патологии, такие как полипы, миомы или гиперплазию эндометрия. Это состояние часто требует дальнейшего обследования для исключения злокачественных процессов.
-
Циклические изменения: Эхогенность эндометрия может меняться в зависимости от фазы менструального цикла. Например, в фолликулярной фазе эндометрий может быть менее эхогенным, в то время как в лютеиновой фазе он становится более гиперэхогенным из-за увеличения уровня гормонов, таких как прогестерон.
-
Влияние на фертильность: Гиперэхогенный эндометрий может влиять на фертильность женщины. Изменения в структуре и толщине эндометрия могут затруднять имплантацию эмбриона, что делает диагностику и лечение этого состояния важными для женщин, планирующих беременность.

Хронический эндометрит
Эндометрит – это воспалительное заболевание, которое может быть спровоцировано вирусами, бактериями или грибками. Он локализуется на внутренней слизистой оболочке матки, известной как эндометрий, и иногда его диагностика представляет собой сложную задачу, особенно в случаях хронического течения. О хронической форме заболевания можно говорить, когда патология развивается медленно на протяжении длительного времени, не вызывая при этом серьезных или очевидных симптомов.
При проведении ультразвукового исследования (УЗИ) можно заметить признаки гиперплазии, которая проявляется в виде небольших участков размером от 2 до 7 мм, распределенных по всей поверхности эндометрия. Эти участки имеют неправильную форму и четкие контуры. В такой ситуации признаки эхогенности остаются стабильными на протяжении всего менструального цикла.
Внутриматочные контрацептивы
Внутриматочные контрацептивы представлены различными типами контрацептивных спиралей. Эти спирали выполнены из синтетического материала и выбрасывают в матку ежедневно определенную дозу гормона, которая и оказывает контрацептивный эффект. Кроме того, они механически защищают матку от проникновения в нее сперматозоидов.
Как уже было сказано выше, они выполнены из синтетического материала, который имеет достаточно высокую плотность, а значит низкую эхогенность. Он виден на УЗИ как более светлый объект. Определяется врачами такое приспособление достаточно легко – оно выглядит специфично, имеет правильные, геометрические очертания.
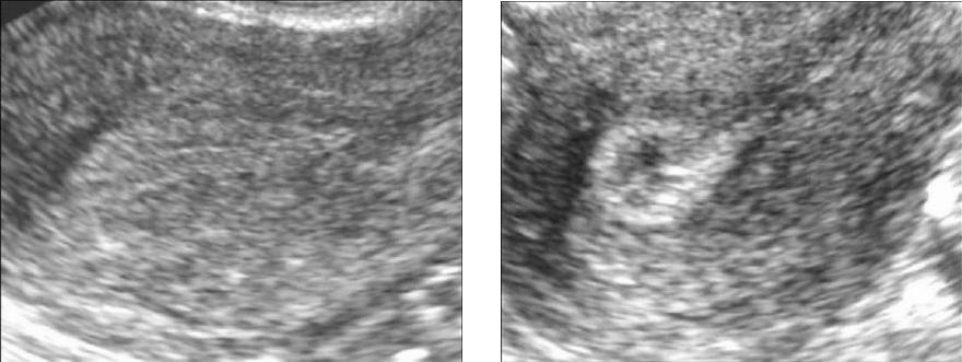
Полипы эндометрия
На ультразвуковом исследовании (УЗИ) могут быть выявлены полипы, которые выглядят более светлыми. Эти образования формируются из железистой или соединительной ткани с низкой плотностью. Их появление связано с действием гормона эстрогена, и в большинстве случаев они являются доброкачественными. Полипы имеют четкие контуры и характерную форму, что позволяет легко их диагностировать. Вероятность ошибки при их выявлении крайне мала.
Рекомендуется удалять такие новообразования, так как они могут вызывать серьезные симптомы. Кроме того, существует риск их трансформации в злокачественные образования.
Процессы
Гиперэхогенный эндометрий может быть не только следствием наличия какого либо новообразования, но и признаком определенного патологического процесса. Каждый, из описанных ниже процессов, может быть как локальным и очаговым, так и тотальным, то есть охватывать весь эндометрий. Не всегда это процессы в чистом виде патологические. В некоторых случаях они являются закономерным последствием какого либо состояния.
Пузырьки воздуха
Скопление пузырьков воздуха в матке может возникать по разным причинам. Наиболее распространенной из них является недавнее выскабливание. Второй по частоте причиной является хронический эндометрит, который длительное время протекает в организме. При проведении исследований такое состояние проявляется в виде множества образований с четкими границами, равномерно распределенных в полости органа. В редких случаях можно наблюдать интересное явление, известное как «хвост кометы», когда на УЗИ фиксируются одна или несколько эхогенных полос.
Гематометра
Гематометра – наличие в области матки сгустков крови. Как же они туда попадают? Обычно, обнаружить их можно после оперативного вмешательства, а также при наличии маточных кровотечений неустановленного или установленного происхождения, Такие сгустки имеют гораздо меньшую плотность, чем окружающие ткани. Потому хорошо визуализируются при ультразвуковом исследовании как светлые области неправильной формы, часто, без четких кроев. Могут встречаться как единично, так и массово и быть разного размера. Для этого случая характерно то, что со временем сгустки смещаются в полости матки, а кроме того, могут подвергаться структурным изменениям, в том числе и менять плотность (а следовательно, и эхогенность).
Части плода
После выкидыша или аборта может быть зафиксировано увеличение эхогенности эндометрия. Что это означает в данном контексте? Существует вероятность, что в процессе аборта в матке образовались воздушные пузырьки. Однако более серьезной проблемой является наличие остатков плодного яйца или плода в полости матки. Эти образования также обладают высокой эхогенностью и могут быть выявлены при исследовании как светлые участки неправильной формы. Они возникают, когда в результате выкидыша или аборта часть макропрепарата остается в исследуемой области.
Воспаление послеоперационных швов
Этот процесс характеризуется значительным увеличением участков инфильтрации вокруг послеоперационных швов. Такие участки обладают гиперэхогенностью, а потому визуализируются в ходе ультразвукового исследования. Выглядят, преимущественно, как светлые участки, не имеющие четких краев, локализованные в области шва.
Перфорация матки
Ситуация, при которой происходит повреждение матки, является достаточно серьезной. Это может случиться в результате выскабливания или другого хирургического вмешательства, выполненного некачественно или непрофессионально. В таких случаях клиническая картина может быть разнообразной. Наиболее часто наблюдаются сгустки крови, пузырьки воздуха и прочие аномалии. Однако важно отметить, что данное состояние сопровождается выраженной и тяжелой симптоматикой, имеет острый характер. Поэтому, если другие симптомы отсутствуют, нельзя ставить диагноз перфорации матки исключительно на основании результатов УЗИ.
Новообразования
Целый ряд более или менее доброкачественных образований может вызывать появление участков гиперэхогенности. Какие же именно новообразования характеризуются особенностями:
- Миома;
- Липома.
Эти типы новообразований также сопровождаются образованием нитей фибрина на поверхности эндометрия. Эти нити также формируют характерную картину – эхогенную сеть, чаще, линейного характера. Но такая сеть может и отсутствовать.
Диагностика
Эгиперэхогенность эндометрия выявляется во время ультразвукового обследования с использованием трансвагинального или трансабдоминального датчика. При этом равномерное увеличение эхогенности по всему эндометрию считается нормальным для определенных фаз менструального цикла. Однако случаи, обсуждаемые в данной статье, обладают другими визуальными признаками. Это проявляется в виде светлых участков с повышенной эхогенностью на фоне более или менее нормального эндометрия.
Лечение
Лечение зависит от того, что вызвало явление. Применяются следующие методы:
- При полипах и липомах – удаление;
- При миомах – гормональное лечение или удаление;
- При остатках плодного яйца – удаление;
- При перфорации матки – хирургическое вмешательство;
- При воспалении швов – лечение антибиотиками;
- При гематометре – медикаментозное и хирургическое лечение;
- Эндометрит – лечение антибиотиками.
При изменении показаний в ходе менструального цикла лечение не требуется. Также как и при наличии внутриматочного контрацептива.

Прогноз и последствия
Прогноз при диагностировании гиперэхогенного эндометрия зависит от множества факторов, включая возраст пациентки, наличие сопутствующих заболеваний, а также характер изменений в эндометрии. Гиперэхогенность может быть признаком различных патологий, от доброкачественных до злокачественных процессов, что требует внимательного анализа и дальнейшего наблюдения.
В большинстве случаев гиперэхогенный эндометрий у женщин репродуктивного возраста может быть связан с гормональными изменениями, такими как гиперплазия эндометрия, которая часто возникает на фоне избытка эстрогенов. В таких ситуациях важно провести дополнительное обследование, чтобы исключить возможность рака эндометрия, особенно если у пациентки имеются такие факторы риска, как ожирение, диабет или семейная предрасположенность к онкологическим заболеваниям.
У женщин в постменопаузе гиперэхогенный эндометрий может указывать на более серьезные патологии, включая злокачественные новообразования. В этом случае необходимо проведение биопсии для уточнения диагноза. Если результаты биопсии подтверждают наличие рака, то дальнейшее лечение может включать хирургическое вмешательство, химиотерапию или радиотерапию, в зависимости от стадии заболевания.
Важно отметить, что не всегда гиперэхогенность эндометрия означает наличие патологии. В некоторых случаях это может быть вариантом нормы, особенно если изменения не сопровождаются клиническими симптомами. Тем не менее, регулярные гинекологические осмотры и ультразвуковые исследования являются необходимыми для мониторинга состояния эндометрия и своевременного выявления возможных отклонений.
Таким образом, прогноз при гиперэхогенном эндометрии варьируется в зависимости от индивидуальных особенностей пациентки и характера изменений. Ранняя диагностика и адекватное лечение играют ключевую роль в предотвращении возможных осложнений и обеспечении здоровья женщины.
Вопрос-ответ
Что означает гиперэхогенный участок эндометрия?
Гиперэхогенная зона, прикреплённая к стенке матки, что указывает на место прикрепления полипа. Место прикрепления может быть видно как яркая точка или линия, исходящая от стенки эндометрия. Отсутствие акустической тени за полипом, что отличает его от других структур, таких как миомы или кальцификаты.
Что означает повышенная эхогенность эндометрия?
Повышенная эхогенность может стать признаком миомы или эндометриоза. УЗИ органов малого таза поможет определить разные проблемы со здоровьем: почему цикл месячных непостоянный или менструация отсутствует. Причину ненаступления беременности.
От чего появляется гиперплазия эндометрия?
Чаще всего причиной патологии становятся механические воздействия (выскабливание, аборт, операция) или гормональные нарушения. Простая гиперплазия эндометрия не сопровождается атипичным изменением клеток и не перерождается в злокачественный процесс.
О чем говорит расширенный эндометрий?
Гиперплазия эндометрия – болезнь, при которой из-за гормональных нарушений утолщается внутренний слой стенки матки (эндометрий). Если это состояние не лечить, то оно способно привести к осложнениям, например, таким, как рак. Оно требует правильной проверки состояния с учетом всех симптомов и причин.
Советы
СОВЕТ №1
Обязательно проконсультируйтесь с врачом, если у вас есть подозрения на изменения в состоянии эндометрия. Только специалист сможет правильно интерпретировать результаты УЗИ и назначить необходимые дополнительные исследования.
СОВЕТ №2
Следите за своим менструальным циклом и обращайте внимание на любые изменения, такие как нерегулярные менструации или необычные выделения. Эти симптомы могут быть важными для диагностики и понимания состояния вашего эндометрия.
СОВЕТ №3
Изучите факторы риска, которые могут способствовать развитию гиперэхогенного эндометрия, такие как гормональные нарушения, ожирение или диабет. Знание этих факторов поможет вам лучше заботиться о своем здоровье и предотвратить возможные осложнения.
СОВЕТ №4
Не забывайте о важности регулярных медицинских осмотров. Профилактические обследования помогут выявить проблемы на ранних стадиях и своевременно начать лечение, если это необходимо.


