Миома матки — распространенное заболевание у женщин репродуктивного возраста. Знание размеров миомы по неделям и в сантиметрах важно для оценки здоровья и необходимости хирургического вмешательства. В статье рассмотрим, как размеры миомы изменяются со временем, риски, связанные с различными размерами опухоли, и когда операция становится необходимой. Эта информация поможет женщинам лучше понимать свое состояние и принимать обоснованные решения о лечении.
От чего зависит размер новообразования
Миома может возникать по ряду причин:
- Избыточные физические нагрузки;
- Постоянный стресс;
- Заболевания яичников, которые нарушают функционирование половых органов;
- Нарушения в эндокринной системе;
- Хронические инфекционные болезни;
- Наследственная предрасположенность;
- Проблемы с избыточным весом и ожирение. На изображении можно увидеть степень ожирения, способную спровоцировать развитие данной патологии.
Размеры миомы матки могут быть в пределах нормы, и в таком случае женщине достаточно регулярного наблюдения у гинеколога. Однако существуют факторы, способные привести к увеличению новообразования. К ним относятся:
- Частые аборты. В редких случаях даже один аборт может спровоцировать развитие опухоли;
- Отсутствие беременности и родов до 30 лет, а также отсутствие лактации;
- Хронические воспалительные процессы в половой системе;
- Долгосрочное использование контрацептивов, влияющих на гормональный баланс. Это означает, что медикаменты, предотвращающие беременность, воздействуют на гормональный фон женщины. При чрезмерном применении таких средств гормональный баланс может измениться навсегда;
- Чрезмерное использование солярия или длительное пребывание на солнце, особенно для женщин с чувствительной кожей.
Чтобы оценить риск необходимости хирургического вмешательства, важно определить стадию развития патологии.
Эксперты в области гинекологии подчеркивают важность регулярного мониторинга размеров миомы матки, так как это может существенно повлиять на выбор тактики лечения. Размеры миомы измеряются как в сантиметрах, так и по неделям беременности, что позволяет оценить динамику ее роста. При размерах до 5 см риски осложнений, как правило, минимальны, однако миомы, превышающие 5 см, могут вызывать различные симптомы и требовать более внимательного наблюдения. Специалисты отмечают, что миомы, растущие быстро или имеющие размеры более 10 см, могут быть связаны с повышенными рисками для здоровья, включая анемию и бесплодие. Поэтому регулярные ультразвуковые исследования и консультации с врачом являются ключевыми для своевременного выявления и управления потенциальными рисками.

Классификация миом по размерам
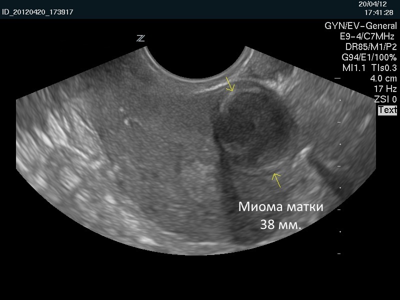
Размер миомы определяется с помощью УЗИ. Ее описывают в неделях и в сантиметрах. По мере роста новообразования матка увеличивается так же, как и во время беременности. То есть в случае увеличения матки на 10 неделе беременности женщине ставится диагноз «миома 10 недель». Размеры в неделях и см таковы:
- Маленькая – до 2 см или 20 мм. Обычно это соответствует 4 или 5 неделе беременности;
- Средняя – до 6 см или 60 мм. Такой показатель считается нормальным для 6-11 недели беременности;
- Большая – от 60 в мм или 6 в см и более. Обычно актуально на 12 неделе беременности и дальше.
Когда образование соответствует 20 неделям беременности, оно может в значительной степени влиять на работу соседних органов. Миома опасна еще и тем, что она может нарушать работу соседних органов, не провоцируя при этом выраженных симптомов. Но чаще всего незначительные симптомы все же присутствуют.
Фото миом по размерам вы можете видеть ниже.
| Размер миомы (недели беременности) | Размер миомы (см) | Оценка риска |
|---|---|---|
| < 12 недель | < 5 см | Низкий (часто бессимптомно) |
| 12-16 недель | 5-7 см | Средний (возможны симптомы, такие как боли внизу живота, обильные менструации) |
| 16-20 недель | 7-10 см | Высокий (вероятность осложнений, таких как анемия, бесплодие, проблемы с мочеиспусканием и дефекацией) |
| > 20 недель | > 10 см | Очень высокий (риск перекрута ножки миомы, некроза, сильного кровотечения, сдавления соседних органов) |
Интересные факты
Вот несколько интересных фактов о размерах миомы матки и их значении:
-
Размеры и симптомы: Миомы матки могут варьироваться от нескольких миллиметров до 20 см и более. Размеры миомы могут влиять на симптомы: небольшие миомы (до 2 см) часто не вызывают никаких проявлений, тогда как более крупные (более 5 см) могут приводить к болям внизу живота, обильным менструациям и даже проблемам с мочеиспусканием.
-
Изменение размеров по неделям: Миомы могут изменять свои размеры в зависимости от гормонального фона женщины. Например, во время беременности миомы могут увеличиваться из-за повышения уровня эстрогенов, что может привести к дополнительным рискам, таким как преждевременные роды или осложнения во время родов.
-
Оценка рисков: Размер миомы в сантиметрах может помочь врачам оценить риски для здоровья. Например, миомы размером более 5 см могут потребовать более тщательного наблюдения и, возможно, хирургического вмешательства, особенно если они вызывают симптомы или растут быстро. Важно регулярно проходить обследования для мониторинга изменений в размерах миомы.

Как определить размер новообразования в неделях
Что предпринять при установлении соответствующего диагноза? Как удостовериться в правильности назначенного лечения? Существует таблица, которая демонстрирует размеры миомы по неделям и методы лечения, которые применяются (таблица соответствия высоты дна матки и срока):
| Размер в неделях | Высота дна матки | Какой метод лечения используется |
| 1-4 | 1-2 см или 10-12 мм | Гормональная и медикаментозная терапия |
| До 7 | 3-7 см или 30-70 мм | |
| До 9 | 8-9 см или 80-90 мм | |
| До 11 | 10-11 см или 100-110 мм | |
| До 13 | 10-11 см или 100-110 мм | Хирургическое вмешательство |
| До 15 | 12-13 см или 120-130 мм | |
| До 17 | 14-19 см или 140-190 мм | |
| До 19 | 16-21 см или 160-210 мм | |
| До 21 | 18-24 см или 180-240 мм | |
| До 23 | 21-25 см или 210-250 мм | |
| До 25 | 23-27 см или 230-270 мм | |
| До 27 | 25-28 см или 250-280 мм | |
| До 29 | 26-31 см или 260-310 мм | |
| До 31 | 29-32 см или 290-320 мм | |
| До 33 | 31-33 см или 310-330 мм | |
| До 35 | 32-33 см или 320-330 мм | |
| До 37 | 32-37 см или 320-370 мм | |
| До 39 | 35-38 см или 350-380 мм | |
| До 41 | 38-39 см или 380-390 мм |
Симптомы, связанные с данной патологией, проявляются в зависимости от стадии её развития.
Симптоматика
Если миома находится на раннем сроке развития, то есть 10 мм-16 мм или 1-2 см, она никак не дает о себе знать, то есть симптоматика полностью отсутствует. Если размеры достигают 3 см, признаки могут появиться, но не всегда достаточно отчетливо. Но когда опухоль растет и достигает 10 см и более или от 10 недель и дальше, дают о себе знать следующие симптомы:
- Менструации, которые сопровождаются сильными режущими болями в нижней части живота. При таком состоянии не помогают даже самые сильные обезболивающие препараты;
- По мере роста опухоли начинает надуваться нижняя часть живота. При этом женщина не набирает вес;
- В некоторых ситуациях при любой физической активности начинаются режущие боли в животе. Это может быть не только занятие спортом, но и игра с ребенком на улице и аналогичные ситуации;
- Когда размеры достигли 13 недель-15 недель, опухоль может воздействовать на соседние органы и нарушать их работу. Из-за этого могут возникать запоры, проблемы с мочеиспусканием, болевые ощущения в области поясницы, сердца, нижних конечностей;
- Онемение нижних конечностей;
- Когда миома 13 недель-15 недель и выше образует спайки с соседними тканями и органами, во время любой, даже незначительной, физической активности человек может чувствовать боль и дискомфорт в суставах.
Также опасна миома во время беременности. Обычно при размерах миомы 2 см-7 см новообразование не препятствует успешному развитию ребенка и легкому течению беременности. Однако в других случаях стоит обратить внимание на этот элемент.
Миома матки и беременность
Запланированная беременность может не состояться, если опухоль достигла 16 см или 11 недель. Образование может стать преградой для сперматозоидов на пути к яйцеклетке.
Миомы матки во время беременности
Во время беременности также возможно развитие миомы матки. Размеры, при которых требуется операция, определяет врач, однако сама женщина может столкнуться с рядом ситуаций:
- Увеличение миомы может достигнуть таких размеров, что это значительно затруднит нормальное развитие плода;
- В период 12-15 недель размер миомы может стать критическим, что может привести к выкидышу на более поздних сроках;
- Если миома размером 5-6 см не мешает родам, то на более поздних сроках может потребоваться кесарево сечение;
- Размер миомы во время беременности может быстро увеличиваться с 11 мм до 6 см и более. Это связано с изменениями в гормональном фоне, поэтому женщина должна находиться под постоянным наблюдением специалиста;
- Без медикаментозной поддержки в таких случаях не обойтись. Лекарственные препараты необходимы для поддержания организма в стабильном состоянии до родов;
- Если лечение не дает положительных результатов и наблюдается ухудшение состояния, может потребоваться хирургическое вмешательство. В особенно тяжелых случаях проводят кесарево сечение, а затем полностью удаляют матку;
- Если размеры миомы во время беременности не превышают 11 недель, как правило, симптомы патологии отсутствуют, и беременность протекает успешно, что приводит к рождению здорового ребенка.
В общем, беременность не влияет на увеличение размеров новообразования. Кроме размеров, существуют и другие факторы, которые могут стать основанием для проведения операции.
Когда без хирургического вмешательства не обойтись
Нужна ли операция, если размеры не превышают допустимые? Да, если имеют место такие факторы:
- Новообразование может перерасти в злокачественную опухоль;
- Размер незначительный, но планируется беременность в скором времени;
- Пациентка чувствует невыносимые боли на протяжении длительного периода;
- Опухоль сдавливает органы, находящиеся рядом;
- Появилось внутреннее кровотечение;
- Миома имеет дополнительное образование – ножку;
- Начались проблемы с мочевыделением.
Но основное показание для оперативного вмешательства – это размер более 6 см. Это сколько недель? Чаще всего эта цифра соответствует сроку 12 недель. Подробнее читайте в статье «Операция по удалению миомы матки».
Обычно критические дни тормозят рост опухоли. В этот период врач только наблюдает за ее состоянием. Если женщина больше не планирует иметь детей, то альтернативой может стать полное удаление матки.
Что будет без оперативного вмешательства
Если женщине рекомендовано провести операцию по удалению миомы, важно строго следовать этому совету, иначе последствия могут быть непредсказуемыми. Что это подразумевает? Возможные риски:
- При значительном распространении воспалительного процесса могут возникнуть серьезные заболевания почек;
- Доброкачественная опухоль может трансформироваться в злокачественную в течение короткого времени;
- Продолжение роста миомы приведет к усилению давления на соседние органы, что может иметь непредсказуемые последствия, вплоть до летального исхода;
- Быстрое развитие анемии;
- Существует риск возникновения бесплодия.
Регулярные визиты к гинекологу и соблюдение всех его рекомендаций помогут избежать негативных последствий. В настоящее время доступно множество современных методов, позволяющих быстро и безопасно удалить опухоль. Поэтому не стоит опасаться врачей — эту патологию можно успешно лечить, продолжая жить полной и насыщенной жизнью.
Видео

Методы диагностики и мониторинга размеров миомы
Для успешного определения размеров миомы матки и оценки рисков, связанных с ее наличием, необходимо использовать различные методы диагностики и мониторинга. Каждый из этих методов имеет свои особенности, преимущества и недостатки, которые следует учитывать при выборе подходящего подхода.
Ультразвуковое исследование (УЗИ) является одним из наиболее распространенных и доступных методов диагностики миомы матки. С помощью УЗИ можно получить информацию о размере, количестве и расположении миом. Исследование может проводиться как трансабдоминально (через переднюю стенку живота), так и трансвагинально (через влагалище), что позволяет получить более четкие изображения. УЗИ также помогает отслеживать динамику роста миомы на протяжении времени, что особенно важно для оценки рисков.
Магнитно-резонансная томография (МРТ) предоставляет более детальную информацию о миомах, чем УЗИ. Этот метод позволяет точно определить размеры, структуру и расположение миомы, а также выявить возможные осложнения. МРТ особенно полезна в случаях, когда необходимо дифференцировать миому от других образований в матке или соседних органах. Однако, из-за высокой стоимости и необходимости специального оборудования, МРТ не всегда доступна.
Гистероскопия — это метод, при котором используется специальный инструмент (гистероскоп), вводимый через влагалище и шейку матки для визуализации внутренней поверхности матки. Этот метод позволяет не только диагностировать миомы, но и, при необходимости, сразу же провести их удаление. Гистероскопия может быть особенно полезна для оценки миом, расположенных в полости матки, которые могут вызывать кровотечения или другие симптомы.
Лабораторные исследования также играют важную роль в мониторинге состояния пациентки с миомой. Анализы крови на уровень гемоглобина могут помочь выявить анемию, вызванную обильными менструациями, связанными с миомой. Кроме того, гормональные исследования могут быть полезны для оценки влияния гормонального фона на рост миомы.
Важно отметить, что регулярное наблюдение за размерами миомы и состоянием пациентки позволяет своевременно выявлять изменения и принимать необходимые меры. В зависимости от размера миомы, ее расположения и наличия симптомов, врач может рекомендовать различные подходы к лечению, включая медикаментозную терапию, наблюдение или хирургическое вмешательство.
Таким образом, использование комплексного подхода к диагностике и мониторингу размеров миомы матки позволяет не только точно оценить ее состояние, но и минимизировать риски, связанные с этим заболеванием.
Вопрос-ответ
Каковы основные размеры миомы матки и как они могут влиять на здоровье?
Размеры миомы матки могут варьироваться от нескольких миллиметров до более 10 сантиметров. Чем больше размер миомы, тем выше риск возникновения осложнений, таких как боли в животе, обильные менструации и даже бесплодие. Важно регулярно проходить обследования, чтобы контролировать рост миомы и принимать необходимые меры при изменении ее размеров.
Как можно определить размер миомы матки на ранних стадиях?
Размер миомы матки можно определить с помощью ультразвукового исследования (УЗИ), которое позволяет визуализировать образование и измерить его размеры в сантиметрах. Также могут использоваться магнитно-резонансная томография (МРТ) и другие методы визуализации для более точной диагностики и оценки состояния миомы.
Какие риски связаны с увеличением размеров миомы матки?
Увеличение размеров миомы матки может привести к различным рискам, включая развитие анемии из-за обильных менструаций, сдавление соседних органов, что может вызвать проблемы с мочеиспусканием или дефекацией, а также возможные хирургические вмешательства. Поэтому важно следить за изменениями в размерах миомы и консультироваться с врачом для определения необходимых действий.
Советы
СОВЕТ №1
Регулярно проходите гинекологические осмотры. Это поможет своевременно выявить миому и оценить ее размеры, что важно для определения рисков и выбора подходящего лечения.
СОВЕТ №2
Обратите внимание на симптомы, такие как болезненные менструации, обильные кровотечения или дискомфорт в области таза. Если вы заметили что-то необычное, не откладывайте визит к врачу.
СОВЕТ №3
Изучите информацию о размерах миомы и их влиянии на здоровье. Понимание того, как размеры миомы могут изменяться по неделям, поможет вам лучше ориентироваться в своем состоянии и принимать обоснованные решения.
СОВЕТ №4
Обсудите с врачом возможные методы лечения и их риски. В зависимости от размера и расположения миомы, врач может предложить различные варианты, включая наблюдение, медикаментозное лечение или хирургическое вмешательство.


